| UNIPROT | Q5U5U6 |
| Иммуноген | RPA164Hu01-Recombinant Ubiquitin (Ub) |
Polyclonal Antibody to Ubiquitin (Ub) (PAA164Hu01)
Реактивность подтвержденная:
человек
Источник (хозяин):
кролик
Валидировано для:
IHC
WB
Характеристики
Техническое описание
| Русское название | PAA164Hu01 Поликлональное антитело к убиквитину (человек) <Cloud-Clone,Китай> |
| Каталожный номер | PAA164Hu01 |
| Название антигена | Ubiquitin (Ub) |
| UNIPROT | Q5U5U6 |
| Иммуноген | RPA164Hu01-Recombinant Ubiquitin (Ub) |
| Английские синонимы | Ubiquitin B, UbB, Ubiquitous Immunopoietic Polypeptide, Polyubiquitin B |
Реактивность подтвержденная Нужна другая реактивность? |
человек |
| Реактивность предсказываемая | мышь |
| Источник (хозяин) | кролик |
| Клональность | поликлональное |
| Рекомбинантное | нет |
| Готовое к использованию | нет |
| Концентрация | 0.5 мг/мл |
| Конъюгат | По запросу: HRP, biotin, PerCP, PE, Cy3, FITC, Cy7, Cy5.5, PE-Cy5, PE-Cy7, PerCp-Cy5.5, APC, Cy5, PE-Cy3, PE-Cy5.5, APC-Cy7, Biotin-APC, FITC-Biotin, TRITC, APC-Cy5, AF488, AF594, AF405, AF555, AF700, AF647, AF750 |
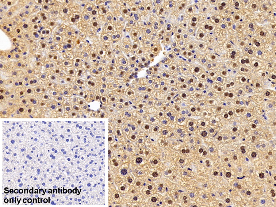
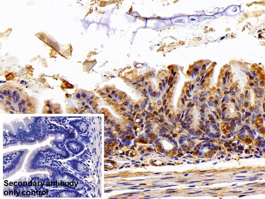
| Валидировано для | IHC WB Иммуногистохимия; Вестерн-блоттинг |
| Рекомендуемые разведения | WB: 0.01-2 мкг/мл; IHC: 5-20 мкг/мл; ICC: 5-20 мкг/мл; Оптимальное разведение определяется конечным потребителем |
| Метод очистки | Антигенспецифическая аффинная хроматография с последующей аффинной хроматографией с белком А |
| Состав буфера | PBS, pH7.4, 0.02% NaN3, 50% глицерин |
| Условия доставки | термобокс с аккумуляторами холода |
| Условия хранения | Сразу после получения аликвотировать и хранить при -20ºС до 24 месяцев. Для частого использования хранить при +4ºС не более 2 недель. Избегать повторения циклов замерзания/оттаивания |
| Срок хранения | 24 месяца |
| Производитель | Cloud-Clone Corp. |
| Ссылка на страницу товара на сайте производителя | http://www.cloud-clone.com/products/PAA164Hu01.html |
|
Артикул
|
Наименование |
Производитель
|
|---|
|
Артикул
|
Наименование |
Производитель
|
|---|
|
Артикул
|
Наименование |
Производитель
|
|---|
|
Артикул
|
Наименование |
Производитель
|
|---|
|
Артикул
|
Наименование |
Производитель
|
|---|
|
Артикул
|
Наименование |
Производитель
|
|---|
|
Артикул
|
Наименование |
Производитель
|
|---|
Акции и предложения
Популярные продукты:
Anti-HEV ORF3 Antibody (SAb2337) (RVV45601)
Источник (хозяин): человек
Реактивность подтвержденная: вирусы
Валидировано для: ELISA, IF, WB
Реактивность подтвержденная: вирусы
Валидировано для: ELISA, IF, WB
Anti-Cyclophilin A (CYPA) Polyclonal Antibody (FAA979Po01)
Источник (хозяин): кролик
Реактивность подтвержденная: свинья
Валидировано для: WB
Реактивность подтвержденная: свинья
Валидировано для: WB
ELISA Kit DIY Materials for Nucleosome Assembly Protein 1 Like Protein 1 (NAP1L1) (KSH571Hu01)
Организм: человек
Диапазон определения: 0.312-20 нг/мл
Чувствительность: 0.119 нг/мл
Диапазон определения: 0.312-20 нг/мл
Чувствительность: 0.119 нг/мл
Guinea Pig Lactic Acid ELISA kit (E05L0004)
Организм: морская свинка
Monkey DNA Methyltransferase 3beta ELISA kit (E09D0322)
Организм: обезьяна

