| Иммуноген | RPA164Mi02-Recombinant Ubiquitin (Ub) |
Polyclonal Antibody to Ubiquitin (Ub) (PAA164Mi02)
Реактивность подтвержденная:
человек, мышь, крыса, кролик, собака, свинья, корова, лошадь
Источник (хозяин):
кролик
Валидировано для:
IHC
WB
Характеристики
Техническое описание
| Русское название | PAA164Mi02 Поликлональное антитело к убиквитину <Cloud-Clone,Китай> |
| Каталожный номер | PAA164Mi02 |
| Название антигена | Ubiquitin (Ub) |
| Иммуноген | RPA164Mi02-Recombinant Ubiquitin (Ub) |
| Английские синонимы | Ubiquitin B, UbB, Ubiquitous Immunopoietic Polypeptide, Polyubiquitin B |
Реактивность подтвержденная Нужна другая реактивность? |
человек, мышь, крыса, кролик, собака, свинья, корова, лошадь |
| Реактивность предсказываемая | мышь, крыса, кролик |
| Источник (хозяин) | кролик |
| Клональность | поликлональное |
| Рекомбинантное | нет |
| Готовое к использованию | нет |
| Концентрация | 1 мг/мл |
| Конъюгат | По запросу: HRP, biotin, PerCP, PE, Cy3, FITC, Cy7, Cy5.5, PE-Cy5, PE-Cy7, PerCp-Cy5.5, APC, Cy5, PE-Cy3, PE-Cy5.5, APC-Cy7, Biotin-APC, FITC-Biotin, TRITC, APC-Cy5, AF488, AF594, AF405, AF555, AF700, AF647, AF750 |
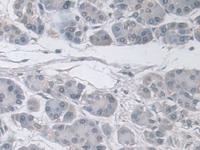
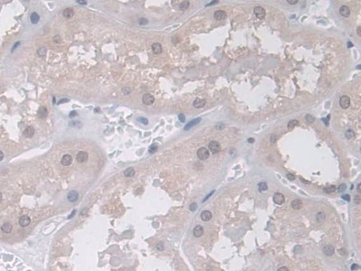
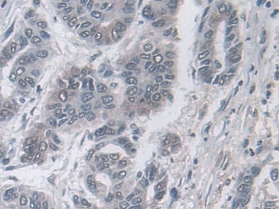
| Валидировано для | IHC WB Иммуногистохимия; Вестерн-блоттинг |
| Рекомендуемые разведения | WB: 0.5-2 мкг/мл; IHC: 5-20 мкг/мл; ICC: 5-20 мкг/мл; Оптимальное разведение определяется конечным потребителем |
| Метод очистки | Антигенспецифическая аффинная хроматография с последующей аффинной хроматографией с белком А |
| Состав буфера | 0.01M PBS, pH7.4, 0.05% Proclin-300, 50% глицерин |
| Условия доставки | термобокс с аккумуляторами холода |
| Условия хранения | Сразу после получения аликвотировать и хранить при -20ºС до 24 месяцев. Для частого использования хранить при +4ºС не более 2 недель. Избегать повторения циклов замерзания/оттаивания |
| Срок хранения | 24 месяца |
| Производитель | Cloud-Clone Corp. |
| Ссылка на страницу товара на сайте производителя | http://www.cloud-clone.com/products/PAA164Mi02.html |
|
Артикул
|
Наименование |
Производитель
|
|---|
|
Артикул
|
Наименование |
Производитель
|
|---|
|
Артикул
|
Наименование |
Производитель
|
|---|
|
Артикул
|
Наименование |
Производитель
|
|---|
|
Артикул
|
Наименование |
Производитель
|
|---|
|
Артикул
|
Наименование |
Производитель
|
|---|
|
Артикул
|
Наименование |
Производитель
|
|---|
Акции и предложения
Популярные продукты:
Bovine Calsenilin(KCNIP3) ELISA kit (E11C2313)
Организм: корова
Sheep IL-10Ra ELISA kit (E14I0464)
Организм: овца
Goat IL-10Ra ELISA kit (E06I0464)
Организм: коза
Rabbit IL-10Ra ELISA kit (E04I0464)
Организм: кролик
Bovine Integrin Linked Kinase 1 ELISA kit (E11I0393)
Организм: корова
Monkey Hyaluronidase ELISA kit (E09H0216)
Организм: обезьяна

