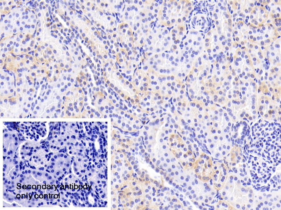
Назначение
поликлональное антитело от производителя Cloud-Clone Corp. к Uridine Phosphorylase 1 (UPP1) источник — кролик предназначено для детекции целевого антигена в биологических образцах. Продукт характеризуется подтвержденной реактивностью к человек.
Преимущества
- Высокая специфичность и аффинность
- Концентрация: 0.5 мг/мл
- Оптимизированный состав буфера: 0.01M PBS, pH7.4, 0.05% Proclin-300, 50% глицерин
- Стабильность: 24 месяца
Применение в исследованиях
Условия хранения
Срок годности: 24 месяца. Сразу после получения аликвотировать и хранить при -20ºС до 24 месяцев. Для частого использования хранить при +4ºС не более 2 недель. Избегать повторения циклов замерзания/оттаивания. Рекомендуется соблюдать температурный режим при транспортировке и хранении.

