| UNIPROT | P02774 |
| Иммуноген | RPB810Hu03-Recombinant Vitamin D Binding Protein (DBP) |
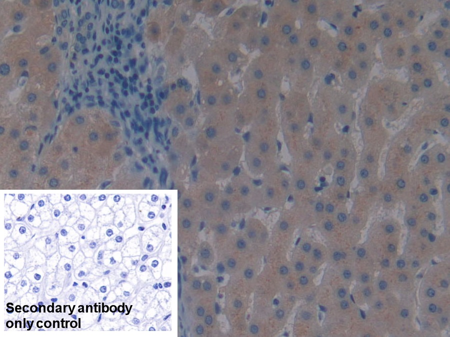
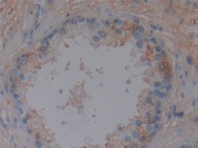
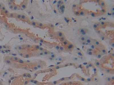
Polyclonal Antibody to Vitamin D Binding Protein (DBP) (PAB810Hu03)
Реактивность подтвержденная:
человек
Источник (хозяин):
кролик
Валидировано для:
IHC
WB
Характеристики
Техническое описание
| Русское название | PAB810Hu03 Поликлональное антитело к DBP (человек) <Cloud-Clone,Китай> |
| Каталожный номер | PAB810Hu03 |
| Название антигена | Vitamin D Binding Protein (DBP) |
| UNIPROT | P02774 |
| Иммуноген | RPB810Hu03-Recombinant Vitamin D Binding Protein (DBP) |
| Английские синонимы | GC, VDBG, VDBP, Group-Specific Component, Gc-globulin |
Реактивность подтвержденная Нужна другая реактивность? |
человек |
| Реактивность предсказываемая | мышь |
| Источник (хозяин) | кролик |
| Клональность | поликлональное |
| Рекомбинантное | нет |
| Готовое к использованию | нет |
| Концентрация | 0.5 мг/мл |
| Конъюгат | По запросу: HRP, biotin, PerCP, PE, Cy3, FITC, Cy7, Cy5.5, PE-Cy5, PE-Cy7, PerCp-Cy5.5, APC, Cy5, PE-Cy3, PE-Cy5.5, APC-Cy7, Biotin-APC, FITC-Biotin, TRITC, APC-Cy5, AF488, AF594, AF405, AF555, AF700, AF647, AF750 |
| Валидировано для | IHC WB Иммуногистохимия; Вестерн-блоттинг |
| Рекомендуемые разведения | WB: 0.5-2 мкг/мл; IHC: 5-20 мкг/мл; ICC: 5-20 мкг/мл; Оптимальное разведение определяется конечным потребителем |
| Метод очистки | Антигенспецифическая аффинная хроматография с последующей аффинной хроматографией с белком А |
| Состав буфера | PBS, pH7.4, 0.02% NaN3, 50% глицерин |
| Условия доставки | термобокс с аккумуляторами холода |
| Условия хранения | Сразу после получения аликвотировать и хранить при -20ºС до 24 месяцев. Для частого использования хранить при +4ºС не более 2 недель. Избегать повторения циклов замерзания/оттаивания |
| Срок хранения | 24 месяца |
| Производитель | Cloud-Clone Corp. |
| Ссылка на страницу товара на сайте производителя | http://www.cloud-clone.com/products/PAB810Hu03.html |
|
Артикул
|
Наименование |
Производитель
|
|---|
|
Артикул
|
Наименование |
Производитель
|
|---|
|
Артикул
|
Наименование |
Производитель
|
|---|
|
Артикул
|
Наименование |
Производитель
|
|---|
Акции и предложения
Популярные продукты:
Free Thyroxine/fT4 ELISA Kit (KGN27303)
Организм: для всех
ELISA Kit DIY Materials for Poly ADP Ribose Polymerase (PARP) (KSA279Hu01)
Организм: человек
Диапазон определения: 0.78-50 нг/мл
Чувствительность: 0.28 нг/мл
Диапазон определения: 0.78-50 нг/мл
Чувствительность: 0.28 нг/мл
Monkey Clarin 1(CLRN1) ELISA kit (E09C1812)
Организм: обезьяна
Rat Crk like protein(CRKL) ELISA kit (E02C2069)
Организм: крыса

