| UNIPROT | P78395 |
| Иммуноген | Гибридный белок, соответствующий человеческому PRAME |
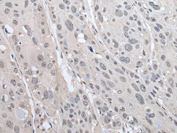
PRAME Polyclonal Antibody (E-AB-52200)
Реактивность подтвержденная:
человек
Источник (хозяин):
кролик
Валидировано для:
IHC
Характеристики
Техническое описание
| Каталожный номер | E-AB-52200 |
| Название антигена | Preferentially Expressed Antigen In Melanoma (PRAME) |
| UNIPROT | P78395 |
| Иммуноген | Гибридный белок, соответствующий человеческому PRAME |
| Английские синонимы | MAPE, OIP4, CT130, Cancer/Testis Antigen 130, Opa-interacting protein 4, Melanoma antigen preferentially expressed in tumors |
Реактивность подтвержденная Нужна другая реактивность? |
человек |
| Источник (хозяин) | кролик |
| Изотип | IgG |
| Клональность | поликлональное |
| Рекомбинантное | нет |
| Готовое к использованию | нет |
| Концентрация | 1.1 мг/мл |
| Конъюгат | нет |
| Валидировано для | IHC Иммуногистохимия |
| Рекомендуемые разведения | IHC 1:40-1:250 |
| Метод очистки | Аффинная очистка с антигеном |
| Состав буфера | PBS с 0.05% NaN3 и 40% глицерин,pH7.4 |
| Условия доставки | термобокс с аккумуляторами холода |
| Условия хранения | Хранить при -20°C - 12 месяцев. Избегать повторяющихся циклов замораживания/оттаивания |
| Срок хранения | 12 месяцев |
| Производитель | Elabscience |
| Ссылка на страницу товара на сайте производителя | https://www.elabscience.com/p-prame_polyclonal_antibody-e_ab_52200 |
|
Артикул
|
Наименование |
Производитель
|
|---|
|
Артикул
|
Наименование |
Производитель
|
|---|
Акции и предложения
Популярные продукты:
Sheep Calcipressin 3(RCAN3) ELISA kit (E14C2418)
Организм: овца
Sheep Acyl CoA desaturase(SCD) ELISA kit (E14A1962)
Организм: овца
Chicken Acyl CoA desaturase(SCD) ELISA kit (E12A1962)
Организм: курица
Bovine Acyl CoA desaturase(SCD) ELISA kit (E11A1962)
Организм: корова
Canine Acyl CoA desaturase(SCD) ELISA kit (E08A1962)
Организм: собака

