| UNIPROT | Q8WWY3 |
| Иммуноген | Рекомбинантный гибридный белок из человеческого PRPF31 (NP_056444.3) |
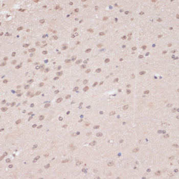
PRPF31 Polyclonal Antibody (E-AB-61089)
Реактивность подтвержденная:
человек, мышь, крыса
Источник (хозяин):
кролик
Валидировано для:
IHC
Характеристики
Техническое описание
| Каталожный номер | E-AB-61089 |
| Название антигена | Pre-mRNA Processing Factor 31 (PRPF31) |
| UNIPROT | Q8WWY3 |
| Иммуноген | Рекомбинантный гибридный белок из человеческого PRPF31 (NP_056444.3) |
| Английские синонимы | PRP31, RP11, SNRNP61, U4/U6 small nuclear ribonucleoprotein Prp31, Serologically defined breast cancer antigen NY-BR-99, U4/U6 snRNP 61 kDa protein |
Реактивность подтвержденная Нужна другая реактивность? |
человек, мышь, крыса |
| Источник (хозяин) | кролик |
| Изотип | IgG |
| Клональность | поликлональное |
| Рекомбинантное | нет |
| Готовое к использованию | нет |
| Концентрация | 1мг/мл |
| Конъюгат | нет |
| Валидировано для | IHC Иммуногистохимия |
| Рекомендуемые разведения | IHC 1:50-1:100 |
| Метод очистки | Аффинная хроматография |
| Состав буфера | PBS с 0.02% азид натрия, 50% глицерин, pH7.3 |
| RRID | AB_526140 |
| Условия доставки | термобокс с аккумуляторами холода |
| Условия хранения | Хранить при -20°C - 12 месяцев. Избегать повторяющихся циклов замораживания/оттаивания |
| Срок хранения | 12 месяцев |
| Производитель | Elabscience |
| Ссылка на страницу товара на сайте производителя | https://www.elabscience.com/p-prpf31_polyclonal_antibody-e_ab_61089 |
|
Артикул
|
Наименование |
Производитель
|
|---|
|
Артикул
|
Наименование |
Производитель
|
|---|
|
Артикул
|
Наименование |
Производитель
|
|---|
Акции и предложения
Популярные продукты:
Canine Interleukin 33 ELISA kit (E08I0204)
Организм: собака
Goat Interleukin 33 ELISA kit (E06I0204)
Организм: коза
Biotin-Linked Monoclonal Antibody to Interleukin 33 (IL33) (LAB980Hu76)
Источник (хозяин): мышь
Реактивность подтвержденная: человек
Валидировано для: IHC, WB
Реактивность подтвержденная: человек
Валидировано для: IHC, WB
Polyclonal Antibody to Interleukin 33 (IL33) (PAB980Mu01)
Источник (хозяин): кролик
Реактивность подтвержденная: мышь
Валидировано для: WB
Реактивность подтвержденная: мышь
Валидировано для: WB
Recombinant Interleukin 33 (IL33) (RPB980Mu01)
Источник (хозяин): E.coli
Организм: мышь
Фрагмент: Ser109-Ile266
Теги: N-концевой GST-Tag
Биоактивность: нет
Организм: мышь
Фрагмент: Ser109-Ile266
Теги: N-концевой GST-Tag
Биоактивность: нет

