| UNIPROT | P60900 |
| Иммуноген | Гибридный белок, соответствующий человеческому PSMA6 |
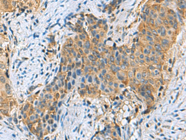
PSMA6 Polyclonal Antibody (E-AB-19189)
Реактивность подтвержденная:
человек, мышь, крыса
Источник (хозяин):
кролик
Валидировано для:
IHC
WB
Характеристики
Техническое описание
| Каталожный номер | E-AB-19189 |
| Название антигена | Proteasome Subunit Alpha Type 6 (PSMa6) |
| UNIPROT | P60900 |
| Иммуноген | Гибридный белок, соответствующий человеческому PSMA6 |
| Английские синонимы | IOTA, PROS27, p27K, 27 kDa prosomal protein, Macropain iota chain, Proteasome iota chain, Multicatalytic endopeptidase complex iota chain |
Реактивность подтвержденная Нужна другая реактивность? |
человек, мышь, крыса |
| Источник (хозяин) | кролик |
| Изотип | IgG |
| Клональность | поликлональное |
| Рекомбинантное | нет |
| Готовое к использованию | нет |
| Концентрация | 1.56 мг/мл |
| Конъюгат | нет |
| Валидировано для | IHC WB Иммуногистохимия; Вестерн-блоттинг |
| Рекомендуемые разведения | WB 1:1000-1:5000; IHC 1:100-1:300 |
| Метод очистки | Аффинная очистка с антигеном |
| Состав буфера | PBS с 0.05% NaN3 и 40% глицерин,pH7.4 |
| Условия доставки | термобокс с аккумуляторами холода |
| Условия хранения | Хранить при -20°C - 12 месяцев. Избегать повторяющихся циклов замораживания/оттаивания |
| Срок хранения | 12 месяцев |
| Производитель | Elabscience |
| Ссылка на страницу товара на сайте производителя | https://www.elabscience.com/p-psma6_polyclonal_antibody-e_ab_19189 |
|
Артикул
|
Наименование |
Производитель
|
|---|
Акции и предложения
Популярные продукты:
Sheep Brain Finger Protein ELISA kit (E14B0454)
Организм: овца
ELISA Kit DIY Materials for Ziconotide (Zic) (KSX168Ge11)
Организм: для всех
Диапазон определения: 3.70-300 нг/мл
Чувствительность: 1.39 нг/мл
Диапазон определения: 3.70-300 нг/мл
Чувствительность: 1.39 нг/мл
ELISA Kit DIY Materials for Albumin (ALB) (KSB028Ga01)
Организм: курица
Диапазон определения: 160-100000 нг/мл
Чувствительность: 70 нг/мл
Диапазон определения: 160-100000 нг/мл
Чувствительность: 70 нг/мл
ELISA Kit for Proteasome 26S Subunit, Non ATPase 6 (PSMD6) (SEQ311Hu)
Организм: человек
Диапазон определения: 0.156-10 нг/мл
Чувствительность: 61 пг/мл
Диапазон определения: 0.156-10 нг/мл
Чувствительность: 61 пг/мл
Monkey F box/WD repeat containing protein 4(FBXW4) ELISA kit (E09F0336)
Организм: обезьяна
Porcine Adseverin(SCIN) ELISA kit (E07A1963)
Организм: свинья

