| UNIPROT | Q06323 |
| Иммуноген | Гибридный белок, соответствующий человеческому PSME1 |
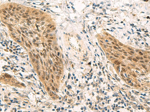
PSME1 Polyclonal Antibody (E-AB-19193)
Реактивность подтвержденная:
человек, мышь, крыса
Источник (хозяин):
кролик
Валидировано для:
IHC
Характеристики
Техническое описание
| Каталожный номер | E-AB-19193 |
| Название антигена | Proteasome Activator Subunit 1 (PSME1) |
| UNIPROT | Q06323 |
| Иммуноген | Гибридный белок, соответствующий человеческому PSME1 |
| Английские синонимы | IFI5111, PA28A, 11S regulator complex subunit alpha, Activator of multicatalytic protease subunit 1, Interferon gamma up-regulated I-5111, Proteasome activator 28 subunit alpha |
Реактивность подтвержденная Нужна другая реактивность? |
человек, мышь, крыса |
| Источник (хозяин) | кролик |
| Изотип | IgG |
| Клональность | поликлональное |
| Рекомбинантное | нет |
| Готовое к использованию | нет |
| Концентрация | 0.78 мг/мл |
| Конъюгат | нет |
| Валидировано для | IHC Иммуногистохимия |
| Рекомендуемые разведения | IHC 1:50-1:200 |
| Метод очистки | Аффинная очистка с антигеном |
| Состав буфера | PBS с 0.05% NaN3 и 40% глицерин,pH7.4 |
| Условия доставки | термобокс с аккумуляторами холода |
| Условия хранения | Хранить при -20°C - 12 месяцев. Избегать повторяющихся циклов замораживания/оттаивания |
| Срок хранения | 12 месяцев |
| Производитель | Elabscience |
| Ссылка на страницу товара на сайте производителя | https://www.elabscience.com/p-psme1_polyclonal_antibody-e_ab_19193 |
|
Артикул
|
Наименование |
Производитель
|
|---|
Акции и предложения
Популярные продукты:
Mouse Apolipoprotein M ELISA kit (E03A0522)
Организм: мышь
Rabbit neuromedin U (NMU) ELISA kit (E04N0551)
Организм: кролик
RPS11 Polyclonal Antibody (E-AB-52697)
Источник (хозяин): кролик
Реактивность подтвержденная: человек, мышь, крыса
Валидировано для: IHC, WB
Реактивность подтвержденная: человек, мышь, крыса
Валидировано для: IHC, WB
PSME1 Polyclonal Antibody (E-AB-19193)
Источник (хозяин): кролик
Реактивность подтвержденная: человек, мышь, крыса
Валидировано для: IHC
Реактивность подтвержденная: человек, мышь, крыса
Валидировано для: IHC
Tosatoxumab ELISA Kit (KDX00101)
Организм: человек
Диапазон определения: 0.31-5 мкг/мл
Чувствительность: 0.156 мкг/мл
Диапазон определения: 0.31-5 мкг/мл
Чувствительность: 0.156 мкг/мл

