| UNIPROT | P43116 |
| Иммуноген | Синтетический пептид, соответствующий человеческому PTGER2 |
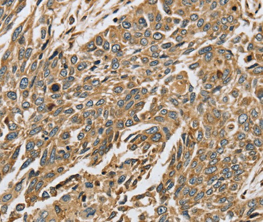
PTGER2 Polyclonal Antibody (E-AB-16732)
Реактивность подтвержденная:
человек, мышь
Источник (хозяин):
кролик
Валидировано для:
IHC
WB
Характеристики
Техническое описание
| Каталожный номер | E-AB-16732 |
| Название антигена | Prostaglandin E Receptor 2 (EP2) |
| UNIPROT | P43116 |
| Иммуноген | Синтетический пептид, соответствующий человеческому PTGER2 |
| Английские синонимы | PTGER2, Prostaglandin E2 Receptor(Subtype EP2),53kD |
Реактивность подтвержденная Нужна другая реактивность? |
человек, мышь |
| Источник (хозяин) | кролик |
| Изотип | IgG |
| Клональность | поликлональное |
| Рекомбинантное | нет |
| Готовое к использованию | нет |
| Концентрация | 1 мг/мл |
| Конъюгат | нет |
| Валидировано для | IHC WB Иммуногистохимия; Вестерн-блоттинг |
| Рекомендуемые разведения | WB 1:200-1:1000; IHC 1:50-1:200 |
| Метод очистки | Аффинная хроматография |
| Состав буфера | PBS с 0.05% азид натрия и 50% глицерин, PH7.4 |
| RRID | AB_536874 |
| Условия доставки | термобокс с аккумуляторами холода |
| Условия хранения | Хранить при -20°C - 12 месяцев. Избегать повторяющихся циклов замораживания/оттаивания |
| Срок хранения | 12 месяцев |
| Производитель | Elabscience |
| Ссылка на страницу товара на сайте производителя | https://www.elabscience.com/p-ptger2_polyclonal_antibody-e_ab_16732 |
|
Артикул
|
Наименование |
Производитель
|
|---|
|
Артикул
|
Наименование |
Производитель
|
|---|
|
Артикул
|
Наименование |
Производитель
|
|---|
Акции и предложения
Популярные продукты:
ELISA Kit DIY Materials for Heme Oxygenase 1 (HO1) (KSA584Hu01)
Организм: человек
Диапазон определения: 0.312-20 нг/мл
Чувствительность: 0.115 нг/мл
Диапазон определения: 0.312-20 нг/мл
Чувствительность: 0.115 нг/мл
Monoclonal Antibody to Tropomyosin 3 (TPM3) (MAD449Hu22)
Источник (хозяин): мышь
Реактивность подтвержденная: человек
Валидировано для: IHC, WB
Реактивность подтвержденная: человек
Валидировано для: IHC, WB
Rabbit 14-3-3 protein eta(YWHAH) ELISA kit (E04Y0007)
Организм: кролик
Rat Arsenite methyltransferase(AS3MT) ELISA kit (E02A1694)
Организм: крыса
Диапазон определения: 10-250 нг/мл
Чувствительность: 1 нг/мл
Диапазон определения: 10-250 нг/мл
Чувствительность: 1 нг/мл
Fish Hexose-6-Phosphate Dehydrogenase ELISA kit (E17H1504)
Организм: рыба

