| UNIPROT | Q15185 |
| Иммуноген | Рекомбинантный гибридный белок из человеческого PTGES3 |
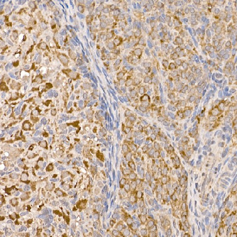
PTGES3 Polyclonal Antibody (E-AB-66063)
Реактивность подтвержденная:
человек
Источник (хозяин):
кролик
Валидировано для:
IHC
Характеристики
Техническое описание
| Каталожный номер | E-AB-66063 |
| Название антигена | Prostaglandin E Synthase 3, Cytosolic (PTGES3) |
| UNIPROT | Q15185 |
| Иммуноген | Рекомбинантный гибридный белок из человеческого PTGES3 |
| Английские синонимы | TEBP, P23, cPGES, Cytosolic prostaglandin E2 synthase, Hsp90 co-chaperone, Progesterone receptor complex p23, Telomerase-binding protein p23 |
Реактивность подтвержденная Нужна другая реактивность? |
человек |
| Источник (хозяин) | кролик |
| Изотип | IgG |
| Клональность | поликлональное |
| Рекомбинантное | нет |
| Готовое к использованию | нет |
| Концентрация | 1 мг/мл |
| Конъюгат | нет |
| Валидировано для | IHC Иммуногистохимия |
| Рекомендуемые разведения | IHC 1:50-1:200 |
| Метод очистки | Аффинная хроматография |
| Состав буфера | PBS с 0.02% азид натрия,50% глицерин,pH7.3 |
| Условия доставки | термобокс с аккумуляторами холода |
| Условия хранения | Хранить при -20°C - 12 месяцев. Избегать повторяющихся циклов замораживания/оттаивания |
| Срок хранения | 12 месяцев |
| Производитель | Elabscience |
| Ссылка на страницу товара на сайте производителя | https://www.elabscience.com/p-ptges3_polyclonal_antibody-e_ab_66063 |
|
Артикул
|
Наименование |
Производитель
|
|---|
|
Артикул
|
Наименование |
Производитель
|
|---|
|
Артикул
|
Наименование |
Производитель
|
|---|
Акции и предложения
Популярные продукты:
Monkey Motor neuron and pancreas homeobox 1 ELISA kit (E09M1092)
Организм: обезьяна
Canine A kinase anchor protein 14(AKAP14) ELISA kit (E08A1354)
Организм: собака
Mouse Carbonic anhydrase 4(CA4) ELISA kit (E03C1284)
Организм: мышь
Human Carbonic anhydrase 4(CA4) ELISA kit (E01C1284)
Организм: человек
Диапазон определения: 250-5000 пг/мл
Чувствительность: 1 пг/мл
Диапазон определения: 250-5000 пг/мл
Чувствительность: 1 пг/мл
Guinea Pig Connexin 26 ELISA kit (E05C0588)
Организм: морская свинка
Monkey Protein Tyrosine Phosphatase Receptor Type R ELISA kit (E09P0167)
Организм: обезьяна

