| UNIPROT | P10082 |
| Иммуноген | Синтетический пептид, соответствующий человеческому PYY |
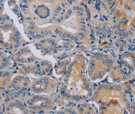
PYY Polyclonal Antibody (E-AB-13503)
Реактивность подтвержденная:
человек, мышь, крыса
Источник (хозяин):
кролик
Валидировано для:
IHC
Характеристики
Техническое описание
| Каталожный номер | E-AB-13503 |
| Название антигена | Peptide YY (PYY) |
| UNIPROT | P10082 |
| Иммуноген | Синтетический пептид, соответствующий человеческому PYY |
| Английские синонимы | PYY1, Peptide tyrosine tyrosine |
Реактивность подтвержденная Нужна другая реактивность? |
человек, мышь, крыса |
| Источник (хозяин) | кролик |
| Изотип | IgG |
| Клональность | поликлональное |
| Рекомбинантное | нет |
| Готовое к использованию | нет |
| Концентрация | 0.2 мг/мл |
| Конъюгат | нет |
| Валидировано для | IHC Иммуногистохимия |
| Рекомендуемые разведения | IHC 1:50-1:200 |
| Метод очистки | Аффинная хроматография |
| Состав буфера | PBS с 0.05% азид натрия и 50% глицерин, PH7.4 |
| RRID | AB_533644 |
| Условия доставки | термобокс с аккумуляторами холода |
| Условия хранения | Хранить при -20°C - 12 месяцев. Избегать повторяющихся циклов замораживания/оттаивания |
| Срок хранения | 12 месяцев |
| Производитель | Elabscience |
| Ссылка на страницу товара на сайте производителя | https://www.elabscience.com/p-pyy_polyclonal_antibody-e_ab_13503 |
|
Артикул
|
Наименование |
Производитель
|
|---|
|
Артикул
|
Наименование |
Производитель
|
|---|
|
Артикул
|
Наименование |
Производитель
|
|---|
|
Артикул
|
Наименование |
Производитель
|
|---|
|
Артикул
|
Наименование |
Производитель
|
|---|
Акции и предложения
Популярные продукты:
Recombinant Antibody to Green Fluorescent Protein (GFP) (RAD025Ge71)
Источник (хозяин): CHO
Реактивность подтвержденная: для всех
Валидировано для: ICC, IF, IHC, IP, WB
Реактивность подтвержденная: для всех
Валидировано для: ICC, IF, IHC, IP, WB
Human 15 hydroxyprostaglandin dehydrogenase [NAD+](HPGD) ELISA kit (E01H0149)
Организм: человек
Диапазон определения: 1-25 нг/мл
Чувствительность: 0.1 нг/мл
Диапазон определения: 1-25 нг/мл
Чувствительность: 0.1 нг/мл
Rabbit Copine 2(CPNE2) ELISA kit (E04C2011)
Организм: кролик
Human Copine 2(CPNE2) ELISA kit (E01C2011)
Организм: человек
Mouse Proteoglycan 4 ELISA kit (E03P0163)
Организм: мышь

