| UNIPROT | P57735 |
| Иммуноген | Рекомбинантный белок, соответствующий человеческому RAB25 |
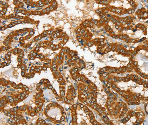
RAB25 Polyclonal Antibody (E-AB-11512)
Реактивность подтвержденная:
человек, мышь
Источник (хозяин):
кролик
Валидировано для:
IHC
Характеристики
Техническое описание
| Каталожный номер | E-AB-11512 |
| Название антигена | RAB25, Member RAS Oncogene Family (RAB25) |
| UNIPROT | P57735 |
| Иммуноген | Рекомбинантный белок, соответствующий человеческому RAB25 |
| Английские синонимы | CATX-8 |
Реактивность подтвержденная Нужна другая реактивность? |
человек, мышь |
| Источник (хозяин) | кролик |
| Изотип | IgG |
| Клональность | поликлональное |
| Рекомбинантное | нет |
| Готовое к использованию | нет |
| Концентрация | 0.3 мг/мл |
| Конъюгат | нет |
| Валидировано для | IHC Иммуногистохимия |
| Рекомендуемые разведения | IHC 1:40-1:150 |
| Метод очистки | Аффинная хроматография |
| Состав буфера | PBS с 0.05% азид натрия и 50% глицерин, PH7.4 |
| RRID | AB_531652 |
| Условия доставки | термобокс с аккумуляторами холода |
| Условия хранения | Хранить при -20°C - 12 месяцев. Избегать повторяющихся циклов замораживания/оттаивания |
| Срок хранения | 12 месяцев |
| Производитель | Elabscience |
| Ссылка на страницу товара на сайте производителя | https://www.elabscience.com/p-rab25_polyclonal_antibody-e_ab_11512 |
|
Артикул
|
Наименование |
Производитель
|
|---|
|
Артикул
|
Наименование |
Производитель
|
|---|
|
Артикул
|
Наименование |
Производитель
|
|---|
Акции и предложения
Популярные продукты:
Bovine Glycogen synthase 1 ELISA kit (E11G0665)
Организм: корова
Monkey Glucose 6 Phosphate Dehydrogenase ELISA kit (E09G0379)
Организм: обезьяна
Sheep Glutathione S Transferase θ 1 ELISA kit (E14G0560)
Организм: овца
Goat Glutathione S Transferase θ 1 ELISA kit (E06G0560)
Организм: коза
Rat Glutathione S Transferase θ 1 ELISA kit (E02G0560)
Организм: крыса
Anti-DNA Antibody (DNA7) (RGK23889)
Источник (хозяин): мышь
Реактивность подтвержденная: для всех
Валидировано для: ELISA, IF
Реактивность подтвержденная: для всех
Валидировано для: ELISA, IF

