| UNIPROT | Q92930 |
| Иммуноген | Синтетический пептид, соответствующий человеческому RAB8B |
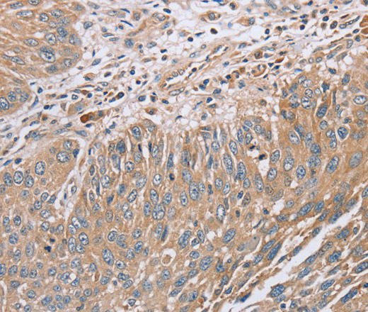
RAB8B Polyclonal Antibody (E-AB-13546)
Реактивность подтвержденная:
человек, мышь, крыса
Источник (хозяин):
кролик
Валидировано для:
IHC
Характеристики
Техническое описание
| Каталожный номер | E-AB-13546 |
| Название антигена | RAB8B, Member RAS Oncogene Family (RAB8B) |
| UNIPROT | Q92930 |
| Иммуноген | Синтетический пептид, соответствующий человеческому RAB8B |
Реактивность подтвержденная Нужна другая реактивность? |
человек, мышь, крыса |
| Источник (хозяин) | кролик |
| Изотип | IgG |
| Клональность | поликлональное |
| Рекомбинантное | нет |
| Готовое к использованию | нет |
| Концентрация | 0.4 мг/мл |
| Конъюгат | нет |
| Валидировано для | IHC Иммуногистохимия |
| Рекомендуемые разведения | IHC 1:30-1:150 |
| Метод очистки | Аффинная хроматография |
| Состав буфера | PBS с 0.05% азид натрия и 50% глицерин, PH7.4 |
| RRID | AB_533687 |
| Условия доставки | термобокс с аккумуляторами холода |
| Условия хранения | Хранить при -20°C - 12 месяцев. Избегать повторяющихся циклов замораживания/оттаивания |
| Срок хранения | 12 месяцев |
| Производитель | Elabscience |
| Ссылка на страницу товара на сайте производителя | https://www.elabscience.com/p-rab8b_polyclonal_antibody-e_ab_13546 |
|
Артикул
|
Наименование |
Производитель
|
|---|
|
Артикул
|
Наименование |
Производитель
|
|---|
Акции и предложения
Популярные продукты:
Rabbit Putrescine ELISA kit (E04P1258)
Организм: кролик
Goat Angiotensin 2 ELISA kit (E06A0204)
Организм: коза
Chicken Enkephalin ELISA kit (E12E0155)
Организм: курица
Goat Enkephalin ELISA kit (E06E0155)
Организм: коза
Rabbit Enkephalin ELISA kit (E04E0155)
Организм: кролик

