| UNIPROT | O14788 |
| Иммуноген | Рекомбинантный гибридный белок из человеческого RANKL |
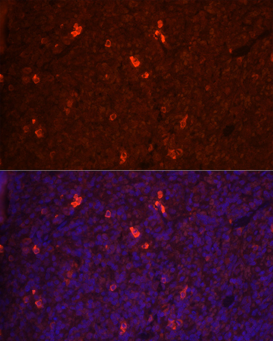
RANKL Polyclonal Antibody (E-AB-68352)
Реактивность подтвержденная:
человек, мышь, крыса
Источник (хозяин):
кролик
Валидировано для:
IF
WB
Характеристики
Публикации
Техническое описание
| Каталожный номер | E-AB-68352 |
| Название антигена | Receptor Activator Of Nuclear Factor Kappa B Ligand (RANkL) |
| UNIPROT | O14788 |
| Иммуноген | Рекомбинантный гибридный белок из человеческого RANKL |
| Английские синонимы | CD254, CD 254, CD-254, TNFSF11, ODF, OPGL, TRANCE, HRANKL2, SOdf, Tumor Necrosis Factor(ligand)superfamily Member 11, TNF-related activation-induced cytokine |
Реактивность подтвержденная Нужна другая реактивность? |
человек, мышь, крыса |
| Источник (хозяин) | кролик |
| Изотип | IgG |
| Клональность | поликлональное |
| Рекомбинантное | нет |
| Готовое к использованию | нет |
| Концентрация | 1 мг/мл |
| Конъюгат | нет |
| Валидировано для | IF WB Иммунофлуоресценция; Вестерн-блоттинг |
| Рекомендуемые разведения | WB 1:500-1:2000; IF 1:50-1:200 |
| Метод очистки | Аффинная хроматография |
| Состав буфера | PBS с 0.01% тиомерсал,50% глицерин,pH7.3 |
| Условия доставки | термобокс с аккумуляторами холода |
| Условия хранения | Хранить при -20°C - 12 месяцев. Избегать повторяющихся циклов замораживания/оттаивания |
| Срок хранения | 12 месяцев |
| Производитель | Elabscience |
| Ссылка на страницу товара на сайте производителя | https://www.elabscience.com/p-rankl_polyclonal_antibody-e_ab_68352 |
|
Артикул
|
Наименование |
Производитель
|
|---|
|
Артикул
|
Наименование |
Производитель
|
|---|
|
Артикул
|
Наименование |
Производитель
|
|---|
|
Артикул
|
Наименование |
Производитель
|
|---|
|
Артикул
|
Наименование |
Производитель
|
|---|
|
Артикул
|
Наименование |
Производитель
|
|---|
|
Артикул
|
Наименование |
Производитель
|
|---|
|
Артикул
|
Наименование |
Производитель
|
|---|
Акции и предложения
Популярные продукты:
Anti-Ubiquitin (Ub) Monoclonal Antibody (FAA164Hu04)
Источник (хозяин): мышь
Реактивность подтвержденная: человек
Валидировано для: FCM
Реактивность подтвержденная: человек
Валидировано для: FCM
Rabbit β klotho(KLB) ELISA kit (E04B0942)
Организм: кролик
Goat Aquaporin-8(AQP8) ELISA kit (E06A1618)
Организм: коза
Monkey Mitochondrial uncoupling protein 2(UCP2) ELISA kit (E09M0443)
Организм: обезьяна
Bovine Alpha crystallin A chain(CRYAA) ELISA kit (E11A1817)
Организм: корова
Human Dihydropyrimidine Dehydrogenase ELISA kit (E01D0256)
Организм: человек
Диапазон определения: 0.5-10 нг/мл
Чувствительность: 0.1 нг/мл
Диапазон определения: 0.5-10 нг/мл
Чувствительность: 0.1 нг/мл

