| UNIPROT | Q86WV6 |
| Иммуноген | Рекомбинантный белок, соответствующий человеческому TMEM173 |
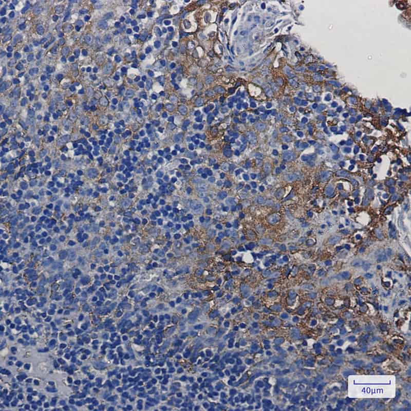
Recombinant Transmembrane Protein 173 Monoclonal Antibody (E-AB-81615)
Реактивность подтвержденная:
человек, крыса
Источник (хозяин):
кролик
Валидировано для:
IHC
WB
Характеристики
Техническое описание
| Каталожный номер | E-AB-81615 |
| Название антигена | Transmembrane Protein 173 (TMEM173) |
| UNIPROT | Q86WV6 |
| Иммуноген | Рекомбинантный белок, соответствующий человеческому TMEM173 |
| Английские синонимы | NET23, ERIS, MPYS, MITA, STING, Endoplasmic Reticulum Interferon Stimulator, Stimulator Of Interferon Genes Protein, Mediator of IRF3 activation |
Реактивность подтвержденная Нужна другая реактивность? |
человек, крыса |
| Источник (хозяин) | кролик |
| Изотип | IgG |
| Клональность | моноклональное |
| Клон | R06-9A7 |
| Рекомбинантное | нет |
| Готовое к использованию | нет |
| Концентрация | 300 мкг/мл |
| Конъюгат | нет |
| Валидировано для | IHC WB Иммуногистохимия; Вестерн-блоттинг |
| Рекомендуемые разведения | WB 1:500-1:1000; IHC 1:50-1:100 |
| Метод очистки | Аффинная хроматография |
| Состав буфера | 50mM Tris-Glycine(pH 7.4), 0.15M NaCl, 40% глицерин, 0.01% азид натрия и 0.05% стабилизирующий белок |
| Условия доставки | термобокс с аккумуляторами холода |
| Условия хранения | Хранить при -20°C - 12 месяцев. Избегать повторяющихся циклов замораживания/оттаивания |
| Срок хранения | 12 месяцев |
| Производитель | Elabscience |
| Ссылка на страницу товара на сайте производителя | https://www.elabscience.com/p-recombinant_transmembrane_protein_173_monoclonal_antibody-e_ab_81615 |
|
Артикул
|
Наименование |
Производитель
|
|---|
|
Артикул
|
Наименование |
Производитель
|
|---|
|
Артикул
|
Наименование |
Производитель
|
|---|
|
Артикул
|
Наименование |
Производитель
|
|---|
|
Артикул
|
Наименование |
Производитель
|
|---|
|
Артикул
|
Наименование |
Производитель
|
|---|
Акции и предложения
Популярные продукты:
Anti-VGlut1 Antibody (N28/7) (RHN21301)
Источник (хозяин): мышь
Реактивность подтвержденная: для всех
Валидировано для: IHC, WB
Реактивность подтвержденная: для всех
Валидировано для: IHC, WB
Anti-TrpM7 Antibody (N74/11) (RHK83401)
Источник (хозяин): мышь
Реактивность подтвержденная: для всех
Валидировано для: IHC, WB
Реактивность подтвержденная: для всех
Валидировано для: IHC, WB
Recombinant Human RLBP1 Protein, N-His (YHC93001)
Источник (хозяин): E.coli
Организм: человек
Фрагмент: Met1-Phe317
Теги: N-His
Биоактивность: нет
Организм: человек
Фрагмент: Met1-Phe317
Теги: N-His
Биоактивность: нет
Recombinant Human NOSIP Protein, N-His (YHJ86901)
Источник (хозяин): E.coli
Организм: человек
Фрагмент: Gly62-Ser295
Теги: N-His
Биоактивность: нет
Организм: человек
Фрагмент: Gly62-Ser295
Теги: N-His
Биоактивность: нет
Recombinant Human APP Protein, N-GST (YHC12501)
Источник (хозяин): E.coli
Организм: человек
Фрагмент: Asp672-Val711
Теги: N-GST
Биоактивность: нет
Организм: человек
Фрагмент: Asp672-Val711
Теги: N-GST
Биоактивность: нет
Anti-MB/Myoglobin Antibody (R2X73) (RHB97301)
Источник (хозяин): мышь
Реактивность подтвержденная: человек
Валидировано для: IHC
Реактивность подтвержденная: человек
Валидировано для: IHC

