| UNIPROT | Q6R327 |
| Иммуноген | Рекомбинантный белок, соответствующий человеческому RICTOR |
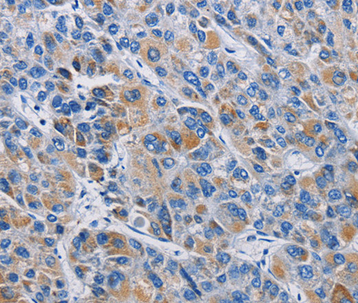
RICTOR Polyclonal Antibody (E-AB-10904)
Реактивность подтвержденная:
человек, мышь
Источник (хозяин):
кролик
Валидировано для:
IHC
Характеристики
Техническое описание
| Каталожный номер | E-AB-10904 |
| Название антигена | Pianissimo (PIA) |
| UNIPROT | Q6R327 |
| Иммуноген | Рекомбинантный белок, соответствующий человеческому RICTOR |
| Английские синонимы | RICTOR, AVO3, Rapamycin-Insensitive Companion Of Mammalian Target of Rapamycin, RPTOR Independent Companion Of MTOR,Complex 2 |
Реактивность подтвержденная Нужна другая реактивность? |
человек, мышь |
| Источник (хозяин) | кролик |
| Изотип | IgG |
| Клональность | поликлональное |
| Рекомбинантное | нет |
| Готовое к использованию | нет |
| Концентрация | 0.3 мг/мл |
| Конъюгат | нет |
| Валидировано для | IHC Иммуногистохимия |
| Рекомендуемые разведения | IHC 1:25-1:200 |
| Метод очистки | Аффинная хроматография |
| Состав буфера | PBS с 0.05% азид натрия и 50% глицерин, PH7.4 |
| RRID | AB_531043 |
| Условия доставки | термобокс с аккумуляторами холода |
| Условия хранения | Хранить при -20°C - 12 месяцев. Избегать повторяющихся циклов замораживания/оттаивания |
| Срок хранения | 12 месяцев |
| Производитель | Elabscience |
| Ссылка на страницу товара на сайте производителя | https://www.elabscience.com/p-rictor_polyclonal_antibody-e_ab_10904 |
|
Артикул
|
Наименование |
Производитель
|
|---|
|
Артикул
|
Наименование |
Производитель
|
|---|
|
Артикул
|
Наименование |
Производитель
|
|---|
|
Артикул
|
Наименование |
Производитель
|
|---|
|
Артикул
|
Наименование |
Производитель
|
|---|
|
Артикул
|
Наименование |
Производитель
|
|---|
Акции и предложения
Популярные продукты:
ELISA Kit DIY Materials for Protein Kinase, AMP Activated Beta 2 (PRKAb2) (KSG289Hu01)
Организм: человек
Диапазон определения: 78-5000 пг/мл
Чувствительность: 32 пг/мл
Диапазон определения: 78-5000 пг/мл
Чувствительность: 32 пг/мл
ELISA Kit DIY Materials for Tau-Tubulin Kinase 2 (tTBK2) (KSE723Hu01)
Организм: человек
Диапазон определения: 0.312-20 нг/мл
Чувствительность: 0.124 нг/мл
Диапазон определения: 0.312-20 нг/мл
Чувствительность: 0.124 нг/мл
Human Granulin ELISA kit (E01G0258)
Организм: человек
Диапазон определения: 5-100 нг/мл
Чувствительность: 1 нг/мл
Диапазон определения: 5-100 нг/мл
Чувствительность: 1 нг/мл
Sheep Decorin ELISA kit (E14D0145)
Организм: овца
Диапазон определения: 0.5-10 нг/мл
Чувствительность: 0.1 нг/мл
Диапазон определения: 0.5-10 нг/мл
Чувствительность: 0.1 нг/мл
Goat Orexin A ELISA kit (E06O0321)
Организм: коза
Recombinant Human CD155/PVR/NECL5 Protein (mFc Tag) (PKSH033561)
Источник (хозяин): HEK293
Организм: человек
Фрагмент: Trp21-Asn343
Теги: C-mFc
Биоактивность: нет
Организм: человек
Фрагмент: Trp21-Asn343
Теги: C-mFc
Биоактивность: нет

