| UNIPROT | O75582 |
| Иммуноген | Гибридный белок, соответствующий человеческому RPS6KA5 |
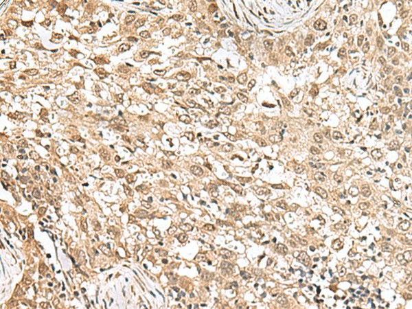
RPS6KA5 Polyclonal Antibody (E-AB-52987)
Реактивность подтвержденная:
человек
Источник (хозяин):
кролик
Валидировано для:
IHC
Характеристики
Техническое описание
| Каталожный номер | E-AB-52987 |
| Название антигена | Ribosomal Protein S6 Kinase Alpha 5 (RPS6Ka5) |
| UNIPROT | O75582 |
| Иммуноген | Гибридный белок, соответствующий человеческому RPS6KA5 |
| Английские синонимы | MSK1, MSPK1, RLPK, RSKL, RSK-like protein kinase, 90 kDa ribosomal protein S6 kinase 5, Nuclear mitogen- and stress-activated protein kinase 1 |
Реактивность подтвержденная Нужна другая реактивность? |
человек |
| Источник (хозяин) | кролик |
| Изотип | IgG |
| Клональность | поликлональное |
| Рекомбинантное | нет |
| Готовое к использованию | нет |
| Концентрация | 1.44 мг/мл |
| Конъюгат | нет |
| Валидировано для | IHC Иммуногистохимия |
| Рекомендуемые разведения | IHC 1:150-1:300 |
| Метод очистки | Аффинная очистка с антигеном |
| Состав буфера | PBS с 0.05% NaN3 и 40% глицерин,pH7.4 |
| Условия доставки | термобокс с аккумуляторами холода |
| Условия хранения | Хранить при -20°C - 12 месяцев. Избегать повторяющихся циклов замораживания/оттаивания |
| Срок хранения | 12 месяцев |
| Производитель | Elabscience |
| Ссылка на страницу товара на сайте производителя | https://www.elabscience.com/p-rps6ka5_polyclonal_antibody-e_ab_52987 |
|
Артикул
|
Наименование |
Производитель
|
|---|
|
Артикул
|
Наименование |
Производитель
|
|---|
|
Артикул
|
Наименование |
Производитель
|
|---|
|
Артикул
|
Наименование |
Производитель
|
|---|
|
Артикул
|
Наименование |
Производитель
|
|---|
Акции и предложения
Популярные продукты:
ELISA Kit DIY Materials for Defensin Alpha 1, Neutrophil (DEFa1) (KSB705Mu01)
Организм: мышь
Диапазон определения: 1.56-100 нг/мл
Чувствительность: 0.62 нг/мл
Диапазон определения: 1.56-100 нг/мл
Чувствительность: 0.62 нг/мл
Guinea Pig β parvin(PARVB) ELISA kit (E05B0959)
Организм: морская свинка
Mouse Cyclin C(CCNC) ELISA kit (E03C1446)
Организм: мышь
Rabbit Total Apelin ELISA kit (E04T0015)
Организм: кролик
Chicken Concanavalin A ELISA kit (E12C0795)
Организм: курица

