| UNIPROT | Q2MKA7 |
| Иммуноген | Рекомбинантный гибридный белок из человеческого RSPO1 (NP_001033722.1) |
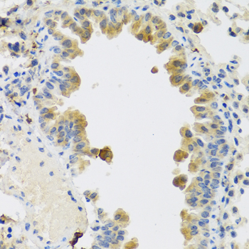
RSPO1 Polyclonal Antibody (E-AB-67973)
Реактивность подтвержденная:
человек, мышь, крыса
Источник (хозяин):
кролик
Валидировано для:
IHC
Характеристики
Техническое описание
| Каталожный номер | E-AB-67973 |
| Название антигена | R-Spondin 1 (RSPO1) |
| UNIPROT | Q2MKA7 |
| Иммуноген | Рекомбинантный гибридный белок из человеческого RSPO1 (NP_001033722.1) |
| Английские синонимы | RSPONDIN, Roof plate-specific spondin-1 |
Реактивность подтвержденная Нужна другая реактивность? |
человек, мышь, крыса |
| Источник (хозяин) | кролик |
| Изотип | IgG |
| Клональность | поликлональное |
| Рекомбинантное | нет |
| Готовое к использованию | нет |
| Концентрация | 1мг/мл |
| Конъюгат | нет |
| Валидировано для | IHC Иммуногистохимия |
| Рекомендуемые разведения | IHC 1:50-1:100 |
| Метод очистки | Аффинная хроматография |
| Состав буфера | PBS с 0.02% азид натрия, 50% глицерин, pH7.3 |
| Условия доставки | термобокс с аккумуляторами холода |
| Условия хранения | Хранить при -20°C - 12 месяцев. Избегать повторяющихся циклов замораживания/оттаивания |
| Срок хранения | 12 месяцев |
| Производитель | Elabscience |
| Ссылка на страницу товара на сайте производителя | https://www.elabscience.com/p-rspo1_polyclonal_antibody-e_ab_67973 |
|
Артикул
|
Наименование |
Производитель
|
|---|
|
Артикул
|
Наименование |
Производитель
|
|---|
|
Артикул
|
Наименование |
Производитель
|
|---|
|
Артикул
|
Наименование |
Производитель
|
|---|
|
Артикул
|
Наименование |
Производитель
|
|---|
Акции и предложения
Популярные продукты:
ELISA Kit DIY Materials for Quiescin Q6 Sulfhydryl Oxidase 1 (QSOX1) (KSC759Hu01)
Организм: человек
Диапазон определения: 0.312-20 нг/мл
Чувствительность: 0.114 нг/мл
Диапазон определения: 0.312-20 нг/мл
Чувствительность: 0.114 нг/мл
Rabbit casein Alpha s1 (CSN1S1) ELISA kit (E04C2100)
Организм: кролик
Goat Anti Endothelial Cell Antibody ELISA kit (E06A0434)
Организм: коза
Rabbit Anti Endothelial Cell Antibody ELISA kit (E04A0434)
Организм: кролик
Guinea Pig Sulfhydryl oxidase 1(QSOX1) ELISA kit (E05S0347)
Организм: морская свинка

