| UNIPROT | Q8WTV0 |
| Иммуноген | Рекомбинантный белок, соответствующий человеческому SCARB1 |
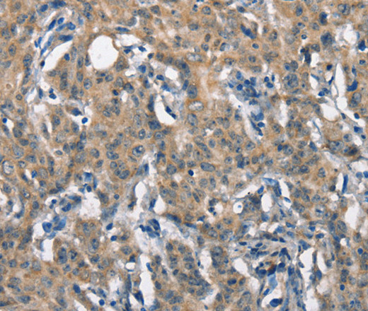
SCARB1 Polyclonal Antibody (E-AB-14121)
Реактивность подтвержденная:
человек
Источник (хозяин):
кролик
Валидировано для:
IHC
Характеристики
Техническое описание
| Каталожный номер | E-AB-14121 |
| Название антигена | Scavenger Receptor Class B Member 1 (SCARB1) |
| UNIPROT | Q8WTV0 |
| Иммуноген | Рекомбинантный белок, соответствующий человеческому SCARB1 |
| Английские синонимы | CD36L1, CD 36L1, CD-36L1, SRB1, CLA1, SR-BI, Collagen Type I Receptor Thrombospondin Receptor-Like 1, CD36 and LIMPII analogous 1 |
Реактивность подтвержденная Нужна другая реактивность? |
человек |
| Источник (хозяин) | кролик |
| Изотип | IgG |
| Клональность | поликлональное |
| Рекомбинантное | нет |
| Готовое к использованию | нет |
| Концентрация | 0.8 мг/мл |
| Конъюгат | нет |
| Валидировано для | IHC Иммуногистохимия |
| Рекомендуемые разведения | IHC 1:50-1:200 |
| Метод очистки | Аффинная хроматография |
| Состав буфера | PBS с 0.05% азид натрия и 50% глицерин, PH7.4 |
| RRID | AB_534262 |
| Условия доставки | термобокс с аккумуляторами холода |
| Условия хранения | Хранить при -20°C - 12 месяцев. Избегать повторяющихся циклов замораживания/оттаивания |
| Срок хранения | 12 месяцев |
| Производитель | Elabscience |
| Ссылка на страницу товара на сайте производителя | https://www.elabscience.com/p-scarb1_polyclonal_antibody-e_ab_14121 |
|
Артикул
|
Наименование |
Производитель
|
|---|
|
Артикул
|
Наименование |
Производитель
|
|---|
|
Артикул
|
Наименование |
Производитель
|
|---|
|
Артикул
|
Наименование |
Производитель
|
|---|
Акции и предложения
Популярные продукты:
ELISA Kit DIY Materials for Troponin T Type 3, Fast Skeletal (TNNT3) (KSD233Hu01)
Организм: человек
Диапазон определения: 15.6-1000 пг/мл
Чувствительность: 5.9 пг/мл
Диапазон определения: 15.6-1000 пг/мл
Чувствительность: 5.9 пг/мл
Bovine Krueppel-like factor 2 ELISA kit (E11K0208)
Организм: корова
Mouse Vitamin B1 ELISA kit (E03V0026)
Организм: мышь
Chicken Claudin 1 ELISA kit (E12C0381)
Организм: курица
Anti-ANO6/TMEM16F Antibody (N429/19) (RHH79802)
Источник (хозяин): мышь
Реактивность подтвержденная: для всех
Валидировано для: IHC, WB
Реактивность подтвержденная: для всех
Валидировано для: IHC, WB
SCARB1 Polyclonal Antibody (E-AB-14121)
Источник (хозяин): кролик
Реактивность подтвержденная: человек
Валидировано для: IHC
Реактивность подтвержденная: человек
Валидировано для: IHC

