| UNIPROT | Q9NQ25 |
| Иммуноген | Гибридный белок, соответствующий человеческому SLAMF7 |
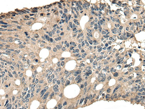
SLAMF7 Polyclonal Antibody (E-AB-18222)
Реактивность подтвержденная:
человек
Источник (хозяин):
кролик
Валидировано для:
IHC
Характеристики
Техническое описание
| Каталожный номер | E-AB-18222 |
| Название антигена | Signaling Lymphocytic Activation Molecule Family, Member 7 (SLAMF7) |
| UNIPROT | Q9NQ25 |
| Иммуноген | Гибридный белок, соответствующий человеческому SLAMF7 |
| Английские синонимы | CD319, CD 319, CD-319, CRACC, 19A, CS1, CD2-like receptor-activating cytotoxic cells, Membrane protein FOAP-12 |
Реактивность подтвержденная Нужна другая реактивность? |
человек |
| Источник (хозяин) | кролик |
| Изотип | IgG |
| Клональность | поликлональное |
| Рекомбинантное | нет |
| Готовое к использованию | нет |
| Концентрация | 2.5 мг/мл |
| Конъюгат | нет |
| Валидировано для | IHC Иммуногистохимия |
| Рекомендуемые разведения | IHC 1:30-1:150 |
| Метод очистки | Аффинная очистка с антигеном |
| Состав буфера | PBS с 0.05% NaN3 и 40% глицерин,pH7.4 |
| Условия доставки | термобокс с аккумуляторами холода |
| Условия хранения | Хранить при -20°C - 12 месяцев. Избегать повторяющихся циклов замораживания/оттаивания |
| Срок хранения | 12 месяцев |
| Производитель | Elabscience |
| Ссылка на страницу товара на сайте производителя | https://www.elabscience.com/p-slamf7_polyclonal_antibody-e_ab_18222 |
|
Артикул
|
Наименование |
Производитель
|
|---|
|
Артикул
|
Наименование |
Производитель
|
|---|
|
Артикул
|
Наименование |
Производитель
|
|---|
|
Артикул
|
Наименование |
Производитель
|
|---|
|
Артикул
|
Наименование |
Производитель
|
|---|
Акции и предложения
Популярные продукты:
Human Dentin Matrix Protein 1 ELISA kit (E01D0064)
Организм: человек
Диапазон определения: 1-25 нг/мл
Чувствительность: 0.1 нг/мл
Диапазон определения: 1-25 нг/мл
Чувствительность: 0.1 нг/мл
Recombinant Human TIMP2/TIMP-2 Protein (PKSH031634)
Источник (хозяин): HEK293
Организм: человек
Фрагмент: Cys 27-Pro 220
Теги: без тега
Биоактивность: да
Организм: человек
Фрагмент: Cys 27-Pro 220
Теги: без тега
Биоактивность: да
Anti-Mouse CD319/SLAMF7 Polyclonal Antibody (PMJ64001)
Источник (хозяин): кролик
Реактивность подтвержденная: мышь
Валидировано для: ELISA, IHC, WB
Реактивность подтвержденная: мышь
Валидировано для: ELISA, IHC, WB
Anti-Human TIMP2 Antibody (SAA0317) (RHD14501)
Источник (хозяин): мышь
Реактивность подтвержденная: человек
Валидировано для: ELISA
Реактивность подтвержденная: человек
Валидировано для: ELISA
Anti-Human POSTN/OSF-2 Monoclonal Antibody (1A072) (MHH00903)
Источник (хозяин): мышь
Реактивность подтвержденная: человек
Валидировано для: ELISA, IHC, WB
Реактивность подтвержденная: человек
Валидировано для: ELISA, IHC, WB
Recombinant Human Calreticulin/CALR Protein (AID00501)
Организм: человек
Биоактивность: нет
Биоактивность: нет

