| UNIPROT | P57103 |
| Иммуноген | Синтетический пептид, соответствующий человеческому SLC8A3 |
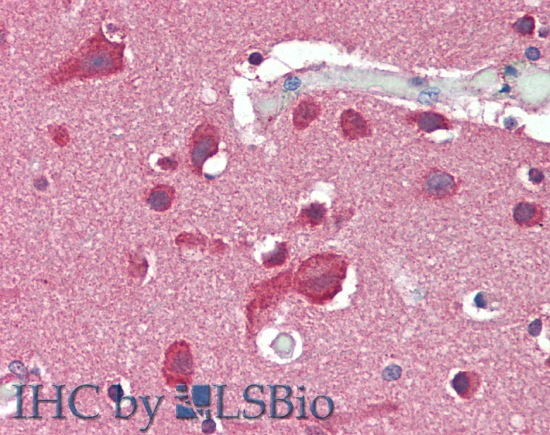
SLC8A3 Polyclonal Antibody (E-AB-12798)
Реактивность подтвержденная:
человек
Источник (хозяин):
кролик
Валидировано для:
IHC
Характеристики
Техническое описание
| Каталожный номер | E-AB-12798 |
| Название антигена | Solute Carrier Family 8, Member 3 (SLC8A3) |
| UNIPROT | P57103 |
| Иммуноген | Синтетический пептид, соответствующий человеческому SLC8A3 |
| Английские синонимы | NCX3, Na(+)/Ca(2+)-exchange protein 3, Sodium/calcium exchanger 3 |
Реактивность подтвержденная Нужна другая реактивность? |
человек |
| Источник (хозяин) | кролик |
| Изотип | IgG |
| Клональность | поликлональное |
| Рекомбинантное | нет |
| Готовое к использованию | нет |
| Концентрация | 0.5 мг/мл |
| Конъюгат | нет |
| Валидировано для | IHC Иммуногистохимия |
| Рекомендуемые разведения | IHC 1:100-1:300 |
| Метод очистки | Аффинная хроматография |
| Состав буфера | PBS с 0.05% азид натрия и 50% глицерин, PH7.4 |
| RRID | AB_532939 |
| Условия доставки | термобокс с аккумуляторами холода |
| Условия хранения | Хранить при -20°C - 12 месяцев. Избегать повторяющихся циклов замораживания/оттаивания |
| Срок хранения | 12 месяцев |
| Производитель | Elabscience |
| Ссылка на страницу товара на сайте производителя | https://www.elabscience.com/p-slc8a3_polyclonal_antibody-e_ab_12798 |
|
Артикул
|
Наименование |
Производитель
|
|---|
|
Артикул
|
Наименование |
Производитель
|
|---|
Акции и предложения
Популярные продукты:
Monoclonal Antibody to Tissue Factor (TF) (MAA524Ra23)
Источник (хозяин): мышь
Реактивность подтвержденная: крыса
Валидировано для: WB
Реактивность подтвержденная: крыса
Валидировано для: WB
Rat Nucleoporin 107kDa ELISA kit (E02N0048)
Организм: крыса
Anti-Synaptotagmin-3 Antibody (N278/19) (RHN16703)
Источник (хозяин): мышь
Реактивность подтвержденная: для всех
Валидировано для: IHC, WB
Реактивность подтвержденная: для всех
Валидировано для: IHC, WB
SLC8A3 Polyclonal Antibody (E-AB-12798)
Источник (хозяин): кролик
Реактивность подтвержденная: человек
Валидировано для: IHC
Реактивность подтвержденная: человек
Валидировано для: IHC
SAP 155 Antibody (DF8604)
Источник (хозяин): кролик
Реактивность подтвержденная: человек, мышь
Валидировано для: WB
Реактивность подтвержденная: человек, мышь
Валидировано для: WB
ERAB Antibody (DF7347)
Источник (хозяин): кролик
Реактивность подтвержденная: человек, мышь, крыса
Валидировано для: IHC, WB
Реактивность подтвержденная: человек, мышь, крыса
Валидировано для: IHC, WB

