| UNIPROT | Q15468 |
| Иммуноген | Рекомбинантный белок человека SCL-interrupting locus protien |
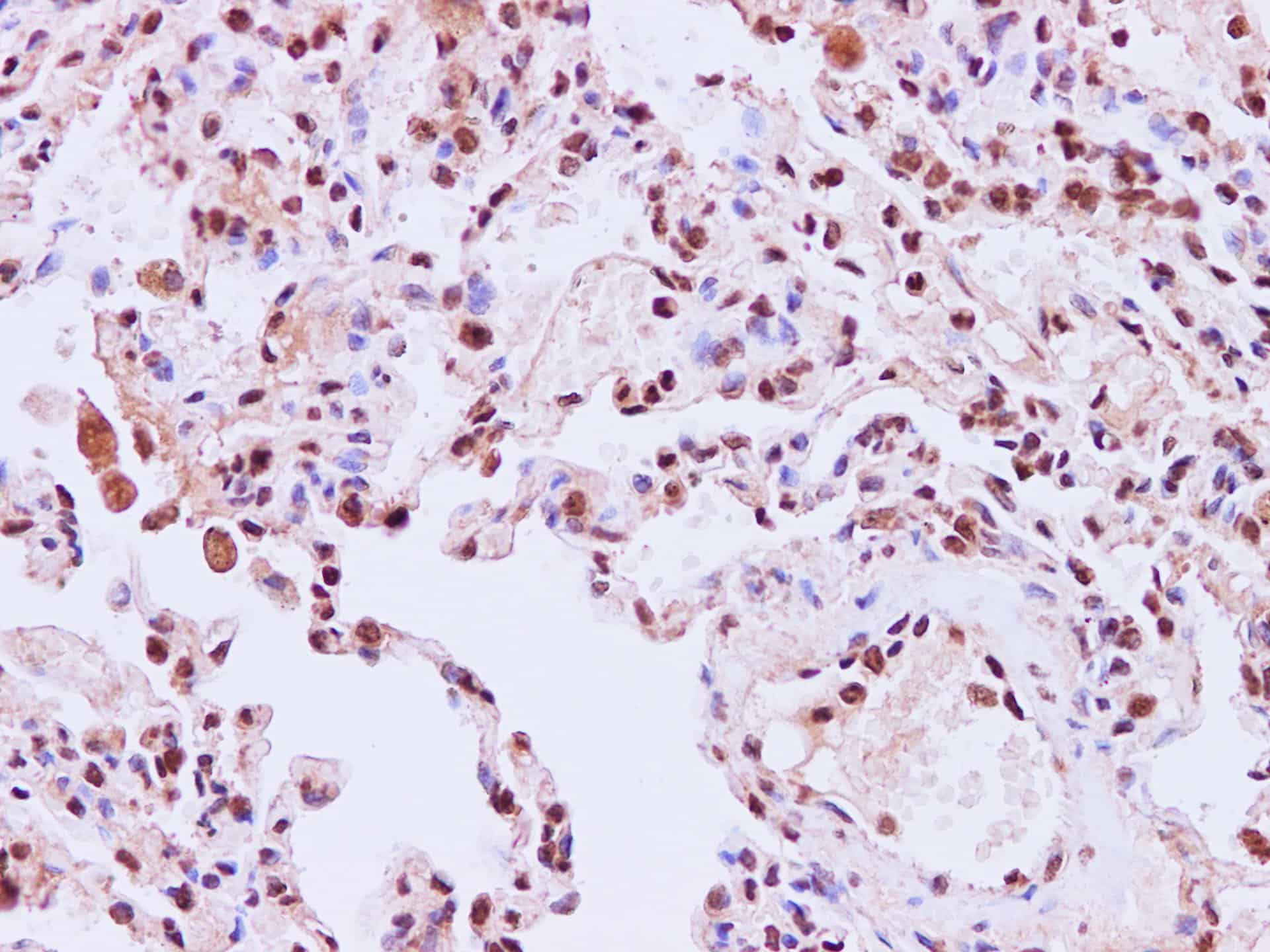
STIL Polyclonal Antibody (E-AB-40237)
Реактивность подтвержденная:
человек
Источник (хозяин):
кролик
Валидировано для:
IHC
Характеристики
Техническое описание
| Каталожный номер | E-AB-40237 |
| Название антигена | SCL/TAL1 Interrupting Locus Protein (STIL) |
| UNIPROT | Q15468 |
| Иммуноген | Рекомбинантный белок человека SCL-interrupting locus protien |
| Английские синонимы | SIL, MCPH7 |
Реактивность подтвержденная Нужна другая реактивность? |
человек |
| Источник (хозяин) | кролик |
| Изотип | IgG |
| Клональность | поликлональное |
| Рекомбинантное | нет |
| Готовое к использованию | нет |
| Концентрация | 1 мг/мл |
| Конъюгат | нет |
| Валидировано для | IHC Иммуногистохимия |
| Рекомендуемые разведения | IHC 1:50-1:200 |
| Метод очистки | Аффинная очистка с антигеном |
| Состав буфера | PBS с 0.02% азид натрия,1% стабилизирующий белок и 50% глицерин,pH7.4 |
| Условия доставки | термобокс с аккумуляторами холода |
| Условия хранения | Хранить при -20°C - 12 месяцев. Избегать повторяющихся циклов замораживания/оттаивания |
| Срок хранения | 12 месяцев |
| Производитель | Elabscience |
| Ссылка на страницу товара на сайте производителя | https://www.elabscience.com/p-stil_polyclonal_antibody-e_ab_40237 |
|
Артикул
|
Наименование |
Производитель
|
|---|
|
Артикул
|
Наименование |
Производитель
|
|---|
Акции и предложения
Популярные продукты:
Rabbit Uromodulin ELISA kit (E04U0077)
Организм: кролик
Canine Chymotrypsinogen B2(CTRB2) ELISA kit (E08C2159)
Организм: собака
Rabbit Chymotrypsinogen B2(CTRB2) ELISA kit (E04C2159)
Организм: кролик
Monkey Apolipoprotein C3 ELISA kit (E09A0516)
Организм: обезьяна
Диапазон определения: 50-1000 нг/мл
Чувствительность: 1 нг/мл
Диапазон определения: 50-1000 нг/мл
Чувствительность: 1 нг/мл
Goat Adenylate cyclase type 9(ADCY9) ELISA kit (E06A1262)
Организм: коза

