| UNIPROT | O15392 |
| Иммуноген | Рекомбинантный белок |
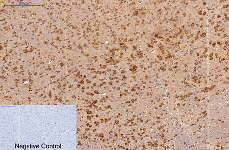
Survivin Monoclonal Antibody (E-AB-22112)
Реактивность подтвержденная:
человек, крыса
Источник (хозяин):
мышь
Валидировано для:
IHC
WB
Характеристики
Техническое описание
| Каталожный номер | E-AB-22112 |
| Название антигена | Survivin (Surv) |
| UNIPROT | O15392 |
| Иммуноген | Рекомбинантный белок |
| Английские синонимы | BIRC5, API4, EPR-1, Baculoviral Inhibitor Of Apoptosis Repeat Containing 5, Apoptosis Inhibitor 4, Survivin Variant 3 Alpha |
Реактивность подтвержденная Нужна другая реактивность? |
человек, крыса |
| Источник (хозяин) | мышь |
| Изотип | IgG |
| Клональность | моноклональное |
| Клон | 400 |
| Рекомбинантное | нет |
| Готовое к использованию | нет |
| Концентрация | 1 мг/мл |
| Конъюгат | нет |
| Валидировано для | IHC WB Иммуногистохимия; Вестерн-блоттинг |
| Рекомендуемые разведения | WB 1:1000-2000; IHC 1:50-1:200 |
| Метод очистки | Очистка с белком А |
| Состав буфера | PBS с 0.02% азид натрия и 50% глицерин pH 7.4 |
| RRID | AB_545319 |
| Условия доставки | термобокс с аккумуляторами холода |
| Условия хранения | Хранить при -20°C - 12 месяцев. Избегать повторяющихся циклов замораживания/оттаивания |
| Срок хранения | 12 месяцев |
| Производитель | Elabscience |
| Ссылка на страницу товара на сайте производителя | https://www.elabscience.com/p-survivin_monoclonal_antibody-e_ab_22112 |
|
Артикул
|
Наименование |
Производитель
|
|---|
|
Артикул
|
Наименование |
Производитель
|
|---|
|
Артикул
|
Наименование |
Производитель
|
|---|
|
Артикул
|
Наименование |
Производитель
|
|---|
|
Артикул
|
Наименование |
Производитель
|
|---|
Акции и предложения
Популярные продукты:
Anti-Bovine CD8A Antibody (FS0307), PE (FBB96013)
Источник (хозяин): мышь
Реактивность подтвержденная: корова
Валидировано для: ELISA, FCM
Реактивность подтвержденная: корова
Валидировано для: ELISA, FCM
Canine Putrescine ELISA kit (E08P1258)
Организм: собака
Porcine Copine 4(CPNE4) ELISA kit (E07C2013)
Организм: свинья
Sheep AMP deaminase 1(AMPD1) ELISA kit (E14A1428)
Организм: овца
Bovine Centrin 2(CETN2) ELISA kit (E11C1627)
Организм: корова
Sheep Catenin Alpha 2(CTNNA2) ELISA kit (E14E0194)
Организм: овца

