| UNIPROT | Q9H2B2 |
| Иммуноген | Рекомбинантный белок, соответствующий человеческому SYT4 |
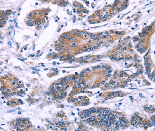
SYT4 Polyclonal Antibody (E-AB-14373)
Реактивность подтвержденная:
человек, мышь, крыса
Источник (хозяин):
кролик
Валидировано для:
IHC
WB
Характеристики
Техническое описание
| Каталожный номер | E-AB-14373 |
| Название антигена | Synaptotagmin IV (SYT4) |
| UNIPROT | Q9H2B2 |
| Иммуноген | Рекомбинантный белок, соответствующий человеческому SYT4 |
| Английские синонимы | SytIV, Synaptotagmin-4 |
Реактивность подтвержденная Нужна другая реактивность? |
человек, мышь, крыса |
| Источник (хозяин) | кролик |
| Изотип | IgG |
| Клональность | поликлональное |
| Рекомбинантное | нет |
| Готовое к использованию | нет |
| Концентрация | 0.2 мг/мл |
| Конъюгат | нет |
| Валидировано для | IHC WB Иммуногистохимия; Вестерн-блоттинг |
| Рекомендуемые разведения | WB 1:500-1:2000; IHC 1:25-1:100 |
| Метод очистки | Аффинная хроматография |
| Состав буфера | PBS с 0.05% азид натрия и 50% глицерин, PH7.4 |
| RRID | AB_534514 |
| Условия доставки | термобокс с аккумуляторами холода |
| Условия хранения | Хранить при -20°C - 12 месяцев. Избегать повторяющихся циклов замораживания/оттаивания |
| Срок хранения | 12 месяцев |
| Производитель | Elabscience |
| Ссылка на страницу товара на сайте производителя | https://www.elabscience.com/p-syt4_polyclonal_antibody-e_ab_14373 |
|
Артикул
|
Наименование |
Производитель
|
|---|
|
Артикул
|
Наименование |
Производитель
|
|---|
Акции и предложения
Популярные продукты:
Monkey Cdc42 effector protein 3(CDC42EP3) ELISA kit (E09C1517)
Организм: обезьяна
Sheep Paired Box Protein Pax-7 ELISA Kit (E14P1242)
Организм: овца
Guinea Pig Small ubiquitin related modifier 2(SUMO2) ELISA kit (E05S0423)
Организм: морская свинка
Porcine Anoctamin 4(ANO4) ELISA kit (E07A1530)
Организм: свинья
Recombinant Antibody to Mullerian Inhibiting Substance Type II Receptor (MISR2) (RAJ646Hu21)
Источник (хозяин): мышь
Реактивность подтвержденная: человек
Валидировано для: FCM
Реактивность подтвержденная: человек
Валидировано для: FCM
ELISA Kit DIY Materials for Neprilysin (CD10) (KSB785Hu01)
Организм: человек
Диапазон определения: 31.2-2000 пг/мл
Чувствительность: 12.5 пг/мл
Диапазон определения: 31.2-2000 пг/мл
Чувствительность: 12.5 пг/мл

