| UNIPROT | O14746 |
| Иммуноген | Синтетический пептид, соответствующий человеческому TERT |
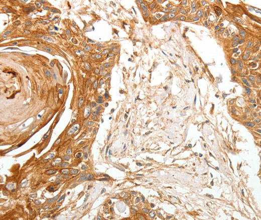
TERT Polyclonal Antibody (E-AB-12901)
Реактивность подтвержденная:
человек
Источник (хозяин):
кролик
Валидировано для:
IHC
Характеристики
Техническое описание
| Каталожный номер | E-AB-12901 |
| Название антигена | Telomerase Reverse Transcriptase (TERT) |
| UNIPROT | O14746 |
| Иммуноген | Синтетический пептид, соответствующий человеческому TERT |
| Английские синонимы | EST2, TCS1, TP2, TRT, hEST2, Telomerase catalytic subunit, Telomerase-associated protein 2 |
Реактивность подтвержденная Нужна другая реактивность? |
человек |
| Источник (хозяин) | кролик |
| Изотип | IgG |
| Клональность | поликлональное |
| Рекомбинантное | нет |
| Готовое к использованию | нет |
| Концентрация | 0.4 мг/мл |
| Конъюгат | нет |
| Валидировано для | IHC Иммуногистохимия |
| Рекомендуемые разведения | IHC 1:50-1:200 |
| Метод очистки | Аффинная хроматография |
| Состав буфера | PBS с 0.05% азид натрия и 50% глицерин, PH7.4 |
| RRID | AB_533042 |
| Условия доставки | термобокс с аккумуляторами холода |
| Условия хранения | Хранить при -20°C - 12 месяцев. Избегать повторяющихся циклов замораживания/оттаивания |
| Срок хранения | 12 месяцев |
| Производитель | Elabscience |
| Ссылка на страницу товара на сайте производителя | https://www.elabscience.com/p-tert_polyclonal_antibody-e_ab_12901 |
|
Артикул
|
Наименование |
Производитель
|
|---|
|
Артикул
|
Наименование |
Производитель
|
|---|
|
Артикул
|
Наименование |
Производитель
|
|---|
|
Артикул
|
Наименование |
Производитель
|
|---|
|
Артикул
|
Наименование |
Производитель
|
|---|
Акции и предложения
Популярные продукты:
Rat Cochlin(COCH) ELISA kit (E02C1879)
Организм: крыса
Rat Antigen peptide transporter 2(TAP2) ELISA kit (E02A2005)
Организм: крыса
ELISA Kit DIY Materials for Interleukin 12A (IL12A) (KSA059Mu01)
Организм: мышь
Диапазон определения: 15.6-1000 пг/мл
Чувствительность: 5.7 пг/мл
Диапазон определения: 15.6-1000 пг/мл
Чувствительность: 5.7 пг/мл
Polyclonal Antibody to Platelet Factor 4 (PF4) (PAA172Hu02)
Источник (хозяин): кролик
Реактивность подтвержденная: человек
Валидировано для: WB
Реактивность подтвержденная: человек
Валидировано для: WB

