| UNIPROT | O75663 |
| Иммуноген | Гибридный белок, соответствующий человеческому TIPRL |
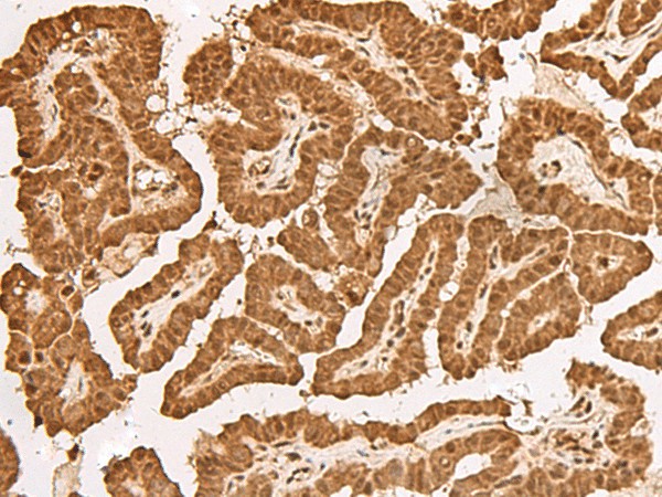
TIPRL Polyclonal Antibody (E-AB-52702)
Реактивность подтвержденная:
человек, мышь, крыса
Источник (хозяин):
кролик
Валидировано для:
IHC
Характеристики
Техническое описание
| Каталожный номер | E-AB-52702 |
| Название антигена | TIP41, TOR Signaling Pathway Regulator Like Protein (TIPRL) |
| UNIPROT | O75663 |
| Иммуноген | Гибридный белок, соответствующий человеческому TIPRL |
| Английские синонимы | TIP, Type 2A-interacting protein, Putative MAPK-activating protein PM10 |
Реактивность подтвержденная Нужна другая реактивность? |
человек, мышь, крыса |
| Источник (хозяин) | кролик |
| Изотип | IgG |
| Клональность | поликлональное |
| Рекомбинантное | нет |
| Готовое к использованию | нет |
| Концентрация | 1.14 мг/мл |
| Конъюгат | нет |
| Валидировано для | IHC Иммуногистохимия |
| Рекомендуемые разведения | IHC 1:50-1:300 |
| Метод очистки | Аффинная очистка с антигеном |
| Состав буфера | PBS с 0.05% NaN3 и 40% глицерин,pH7.4 |
| Условия доставки | термобокс с аккумуляторами холода |
| Условия хранения | Хранить при -20°C - 12 месяцев. Избегать повторяющихся циклов замораживания/оттаивания |
| Срок хранения | 12 месяцев |
| Производитель | Elabscience |
| Ссылка на страницу товара на сайте производителя | https://www.elabscience.com/p-tiprl_polyclonal_antibody-e_ab_52702 |
|
Артикул
|
Наименование |
Производитель
|
|---|
|
Артикул
|
Наименование |
Производитель
|
|---|
Акции и предложения
Популярные продукты:
APC Anti-Human CD56/NCAM Antibody[5.1H11] (E-AB-F1239E)
Источник (хозяин): мышь
Реактивность подтвержденная: человек
Валидировано для: FCM
Реактивность подтвержденная: человек
Валидировано для: FCM
Porcine Guanine Deaminase ELISA kit (E07G0584)
Организм: свинья
Monkey Prorelaxin H2 ELISA kit (E09P1205)
Организм: обезьяна
Human G protein coupled receptor kinase 7(GRK7) ELISA kit (E01G0440)
Организм: человек
Monkey Apolipoprotein A4 ELISA kit (E09A0511)
Организм: обезьяна

