| UNIPROT | Q92752 |
| Иммуноген | Синтетический пептид, соответствующий человеческому TNR |
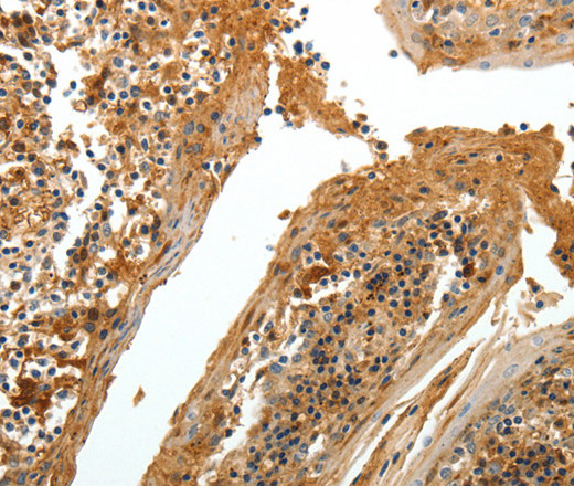
TNR Polyclonal Antibody (E-AB-12898)
Реактивность подтвержденная:
человек, мышь, крыса
Источник (хозяин):
кролик
Валидировано для:
IHC
Характеристики
Техническое описание
| Каталожный номер | E-AB-12898 |
| Название антигена | Tenascin R (TNR) |
| UNIPROT | Q92752 |
| Иммуноген | Синтетический пептид, соответствующий человеческому TNR |
| Английские синонимы | TN-R, Restrictin, Janusin |
Реактивность подтвержденная Нужна другая реактивность? |
человек, мышь, крыса |
| Источник (хозяин) | кролик |
| Изотип | IgG |
| Клональность | поликлональное |
| Рекомбинантное | нет |
| Готовое к использованию | нет |
| Концентрация | 0.3 мг/мл |
| Конъюгат | нет |
| Валидировано для | IHC Иммуногистохимия |
| Рекомендуемые разведения | IHC 1:50-1:200 |
| Метод очистки | Аффинная хроматография |
| Состав буфера | PBS с 0.05% азид натрия и 50% глицерин, PH7.4 |
| RRID | AB_533039 |
| Условия доставки | термобокс с аккумуляторами холода |
| Условия хранения | Хранить при -20°C - 12 месяцев. Избегать повторяющихся циклов замораживания/оттаивания |
| Срок хранения | 12 месяцев |
| Производитель | Elabscience |
| Ссылка на страницу товара на сайте производителя | https://www.elabscience.com/p-tnr_polyclonal_antibody-e_ab_12898 |
|
Артикул
|
Наименование |
Производитель
|
|---|
Акции и предложения
Популярные продукты:
Monkey Stromelysin-2 ELISA kit (E09S0299)
Организм: обезьяна
Rabbit Apelin ELISA kit (E04A1592)
Организм: кролик
Chicken Fibrinopeptide B ELISA kit (E12F0241)
Организм: курица
Canine Islet amyloid polypeptide ELISA kit (E08I0321)
Организм: собака
Monkey Interleukin 2 Receptor β ELISA kit (E09I0381)
Организм: обезьяна

