| UNIPROT | P22105 |
| Иммуноген | Синтетический пептид, соответствующий человеческому TNXB |
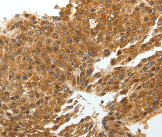
TNXB Polyclonal Antibody (E-AB-12899)
Реактивность подтвержденная:
человек
Источник (хозяин):
кролик
Валидировано для:
IHC
Характеристики
Техническое описание
| Каталожный номер | E-AB-12899 |
| Название антигена | Tenascin X (TNX) |
| UNIPROT | P22105 |
| Иммуноген | Синтетический пептид, соответствующий человеческому TNXB |
| Английские синонимы | TN-X, TNXB, TNX-B, TNXA, TNX-A, TNXB1, TNXB2, HXBL, Hexabrachion-like protein |
Реактивность подтвержденная Нужна другая реактивность? |
человек |
| Источник (хозяин) | кролик |
| Изотип | IgG |
| Клональность | поликлональное |
| Рекомбинантное | нет |
| Готовое к использованию | нет |
| Концентрация | 0.4 мг/мл |
| Конъюгат | нет |
| Валидировано для | IHC Иммуногистохимия |
| Рекомендуемые разведения | IHC 1:50-1:200 |
| Метод очистки | Аффинная хроматография |
| Состав буфера | PBS с 0.05% азид натрия и 50% глицерин, PH7.4 |
| RRID | AB_533040 |
| Условия доставки | термобокс с аккумуляторами холода |
| Условия хранения | Хранить при -20°C - 12 месяцев. Избегать повторяющихся циклов замораживания/оттаивания |
| Срок хранения | 12 месяцев |
| Производитель | Elabscience |
| Ссылка на страницу товара на сайте производителя | https://www.elabscience.com/p-tnxb_polyclonal_antibody-e_ab_12899 |
|
Артикул
|
Наименование |
Производитель
|
|---|
|
Артикул
|
Наименование |
Производитель
|
|---|
|
Артикул
|
Наименование |
Производитель
|
|---|
Акции и предложения
Популярные продукты:
Anti-N-Methylpurine DNA Glycosylase (MPG) Polyclonal Antibody (FAH625Hu01)
Источник (хозяин): кролик
Реактивность подтвержденная: человек
Валидировано для: FCM
Реактивность подтвержденная: человек
Валидировано для: FCM
Monkey Adherens junction associated protein 1(AJAP1) ELISA kit (E09A1346)
Организм: обезьяна
Bovine L lactate dehydrogenase C chain(LDHC) ELISA kit (E11L0325)
Организм: корова
Rat Spectrin alpha chain, erythrocytic 1 ELISA kit (E02S0859)
Организм: крыса
Guinea Pig Calcineurin Binding Protein 1 ELISA kit (E05C0536)
Организм: морская свинка

