| UNIPROT | Q9H3D4 |
| Иммуноген | Гибридный белок, соответствующий человеческому TP63 |
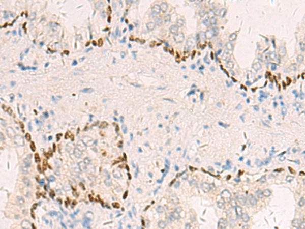
TP63 Polyclonal Antibody (E-AB-52639)
Реактивность подтвержденная:
человек, мышь, крыса
Источник (хозяин):
кролик
Валидировано для:
IHC
Характеристики
Техническое описание
| Каталожный номер | E-AB-52639 |
| Название антигена | Tumor Protein P63 (TP63) |
| UNIPROT | Q9H3D4 |
| Иммуноген | Гибридный белок, соответствующий человеческому TP63 |
| Английские синонимы | P63, TP73L, CUSP, EEC3, KET, LMS, OFC8, RHS, SHFM4, TP53CP, Tumor Protein p53-Competing Protein, Chronic ulcerative stomatitis protein, Keratinocyte transcription factor |
Реактивность подтвержденная Нужна другая реактивность? |
человек, мышь, крыса |
| Источник (хозяин) | кролик |
| Изотип | IgG |
| Клональность | поликлональное |
| Рекомбинантное | нет |
| Готовое к использованию | нет |
| Концентрация | 0.72 мг/мл |
| Конъюгат | нет |
| Валидировано для | IHC Иммуногистохимия |
| Рекомендуемые разведения | IHC 1:50-1:100 |
| Метод очистки | Аффинная очистка с антигеном |
| Состав буфера | PBS с 0.05% NaN3 и 40% глицерин,pH7.4 |
| Условия доставки | термобокс с аккумуляторами холода |
| Условия хранения | Хранить при -20°C - 12 месяцев. Избегать повторяющихся циклов замораживания/оттаивания |
| Срок хранения | 12 месяцев |
| Производитель | Elabscience |
| Ссылка на страницу товара на сайте производителя | https://www.elabscience.com/p-tp63_polyclonal_antibody-e_ab_52639 |
|
Артикул
|
Наименование |
Производитель
|
|---|
|
Артикул
|
Наименование |
Производитель
|
|---|
|
Артикул
|
Наименование |
Производитель
|
|---|
|
Артикул
|
Наименование |
Производитель
|
|---|
Акции и предложения
Популярные продукты:
Bovine Cadherin 20(CDH20) ELISA kit (E11C1541)
Организм: корова
Monkey Angiotensin 2 Receptor 1 Autoantibodies ELISA kit (E09A0207)
Организм: обезьяна
Guinea Pig ATP Binding Cassette Transporter A1 ELISA kit (E05A0631)
Организм: морская свинка
Rabbit Islet amyloid polypeptide ELISA kit (E04I0321)
Организм: кролик

