Ваш браузер устарел и не обеспечивает полноценную и безопасную работу с сайтом. Пожалуйста обновите браузер чтобы улучшить взаимодействие с сайтом.
Мы обновили сайт, попробуйте новые функции в личном кабинете!

+7 (495) 798-02-48

TXN Polyclonal Antibody (E-AB-12906)

Реактивность подтвержденная: человек, крыса
Источник (хозяин): кролик
Валидировано для:
IHC
WB
Валидация Elabscience E-AB-12906
Валидация Elabscience E-AB-12906
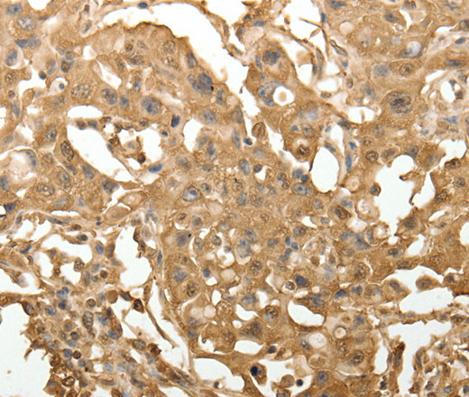
Immunohistochemistry of paraffin-embedded Human lung cancer using TXN Polyclonal Antibody at dilution of 1:40
Валидация Elabscience E-AB-12906
Ближайшая поставка
29.05.26
Характеристики
Техническое описание
Каталожный номер E-AB-12906
Название антигена Thioredoxin (Trx)
UNIPROT P10599
Иммуноген Синтетический пептид, соответствующий человеческому TXN
Английские синонимы TXN, ADF, SASP, TRDX, TRX1, ATL-derived factor, Surface-associated sulphydryl protein
Реактивность подтвержденная
Нужна другая реактивность?
человек, крыса
Источник (хозяин) кролик
Изотип IgG
Клональность поликлональное
Рекомбинантное нет
Готовое к использованию нет
Концентрация 0.3 мг/мл
Конъюгат нет
Валидировано для
IHC
WB
Иммуногистохимия; Вестерн-блоттинг
Рекомендуемые разведения WB 1:1000-1:5000; IHC 1:50-1:200
Метод очистки Аффинная хроматография
Состав буфера PBS с 0.05% азид натрия и 50% глицерин, PH7.4
RRID AB_533047
Условия доставки термобокс с аккумуляторами холода
Условия хранения Хранить при -20°C - 12 месяцев. Избегать повторяющихся циклов замораживания/оттаивания
Срок хранения 12 месяцев
Производитель Elabscience
Ссылка на страницу товара на сайте производителя https://www.elabscience.com/p-txn_polyclonal_antibody-e_ab_12906

Назначение

поликлональное антитело от производителя Elabscience к Thioredoxin (Trx) источник — кролик предназначено для детекции целевого антигена в биологических образцах. Продукт характеризуется подтвержденной реактивностью к человек, крыса.

Преимущества

  • Высокая специфичность и аффинность
  • Концентрация: 0.3 мг/мл
  • Оптимизированный состав буфера: PBS с 0.05% азид натрия и 50% глицерин, PH7.4
  • Стабильность: 12 месяцев

Применение в исследованиях

Антитело валидировано для методов: IHC, WB. Подходит для научных исследований в области иммунологии, клеточной биологии и молекулярной диагностики.

Условия хранения

Срок годности: 12 месяцев. Хранить при -20°C - 12 месяцев. Избегать повторяющихся циклов замораживания/оттаивания. Рекомендуется соблюдать температурный режим при транспортировке и хранении.
UNIPROT P10599
Иммуноген Синтетический пептид, соответствующий человеческому TXN
Артикул
Наименование
Производитель
Артикул
Наименование
Производитель
Артикул
Наименование
Производитель
Артикул
Наименование
Производитель
Артикул
Наименование
Производитель
Артикул
Наименование
Производитель
Артикул
Наименование
Производитель
Артикул
Наименование
Производитель

С нами успешно сотрудничают:

Московский государственный университет им. Ломоносова
Московский государственный университет им. Ломоносова
Московский государственный университет им. Ломоносова
МФТИ
МФТИ
МФТИ
Центр вирусологии и биотехнологии „Вектор“
Центр вирусологии и биотехнологии „Вектор“
Центр вирусологии и биотехнологии „Вектор“
Институт физиологии имени Павлова
Институт физиологии имени Павлова
Институт физиологии имени Павлова
Сеченовский университет
Сеченовский университет
Сеченовский университет
Исследовательский центр им. Алмазова
Исследовательский центр им. Алмазова
Исследовательский центр им. Алмазова
BIOCAD
BIOCAD
BIOCAD
Университет Сириус
Университет Сириус
Университет Сириус
Р-Фарм
Р-Фарм
Р-Фарм
Сколтех
Сколтех
Сколтех
Курчатовский институт
Курчатовский институт
Курчатовский институт
ИБХ РАН
ИБХ РАН
ИБХ РАН
НИЦ эпидемиологии и микробиологии им. Н.Ф.Гамалеи
НИЦ эпидемиологии и микробиологии им. Н.Ф.Гамалеи
НИЦ эпидемиологии и микробиологии им. Н.Ф.Гамалеи
Томский НИМЦ
Томский НИМЦ
Томский НИМЦ
ФИЦ ВИЖ имени Л.К. Эрнста
ФИЦ ВИЖ имени Л.К. Эрнста
ФИЦ ВИЖ имени Л.К. Эрнста
Фонд "Наука - Детям"
Фонд "Наука - Детям"
Фонд "Наука - Детям"
Институт цитологии и генетики СО РАН
Институт цитологии и генетики СО РАН
Институт цитологии и генетики СО РАН
Генериум
Генериум
Генериум

Новости

0
0
0