| UNIPROT | O75083 |
| Иммуноген | Рекомбинантный гибридный белок из человеческого WDR1 (NP_059830.1) |
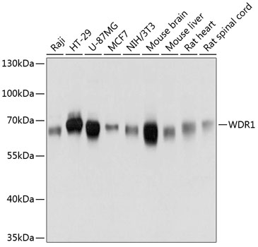
WDR1 Polyclonal Antibody (E-AB-63644)
Реактивность подтвержденная:
человек, мышь, крыса
Источник (хозяин):
кролик
Валидировано для:
WB
Характеристики
Техническое описание
| Каталожный номер | E-AB-63644 |
| Название антигена | WD Repeat Containing Domain Protein 1 (WDR1) |
| UNIPROT | O75083 |
| Иммуноген | Рекомбинантный гибридный белок из человеческого WDR1 (NP_059830.1) |
| Английские синонимы | AIP1, NORI-1, Actin-interacting protein 1 |
Реактивность подтвержденная Нужна другая реактивность? |
человек, мышь, крыса |
| Источник (хозяин) | кролик |
| Изотип | IgG |
| Клональность | поликлональное |
| Рекомбинантное | нет |
| Готовое к использованию | нет |
| Концентрация | 1мг/мл |
| Конъюгат | нет |
| Валидировано для | WB Вестерн-блоттинг |
| Рекомендуемые разведения | WB 1:500-1:2000 |
| Метод очистки | Аффинная хроматография |
| Состав буфера | PBS с 0.02% азид натрия, 50% глицерин, pH7.3 |
| RRID | AB_524361 |
| Условия доставки | термобокс с аккумуляторами холода |
| Условия хранения | Хранить при -20°C - 12 месяцев. Избегать повторяющихся циклов замораживания/оттаивания |
| Срок хранения | 12 месяцев |
| Производитель | Elabscience |
| Ссылка на страницу товара на сайте производителя | https://www.elabscience.com/p-wdr1_polyclonal_antibody-e_ab_63644 |
|
Артикул
|
Наименование |
Производитель
|
|---|
|
Артикул
|
Наименование |
Производитель
|
|---|
Акции и предложения
Популярные продукты:
Recombinant Antibody to Mullerian Inhibiting Substance Type II Receptor (MISR2) (RAJ646Hu21)
Источник (хозяин): мышь
Реактивность подтвержденная: человек
Валидировано для: FCM
Реактивность подтвержденная: человек
Валидировано для: FCM
Monkey Cdc42 effector protein 3(CDC42EP3) ELISA kit (E09C1517)
Организм: обезьяна
Sheep Paired Box Protein Pax-7 ELISA Kit (E14P1242)
Организм: овца
Guinea Pig Small ubiquitin related modifier 2(SUMO2) ELISA kit (E05S0423)
Организм: морская свинка
Porcine Anoctamin 4(ANO4) ELISA kit (E07A1530)
Организм: свинья

