| UNIPROT | Q9H1J7 |
| Иммуноген | Рекомбинантный гибридный белок из человеческого WNT5B (NP_116031.1) |
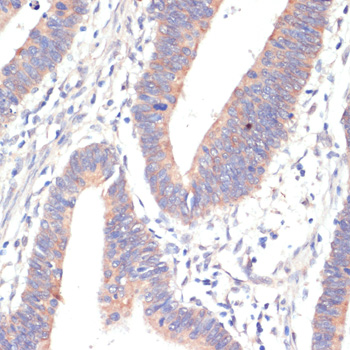
WNT5B Polyclonal Antibody (E-AB-62539)
Реактивность подтвержденная:
человек, мышь, крыса
Источник (хозяин):
кролик
Валидировано для:
IHC
Характеристики
Техническое описание
| Каталожный номер | E-AB-62539 |
| Название антигена | Wingless Type MMTV Integration Site Family, Member 5B (WNT5B) |
| UNIPROT | Q9H1J7 |
| Иммуноген | Рекомбинантный гибридный белок из человеческого WNT5B (NP_116031.1) |
Реактивность подтвержденная Нужна другая реактивность? |
человек, мышь, крыса |
| Источник (хозяин) | кролик |
| Изотип | IgG |
| Клональность | поликлональное |
| Рекомбинантное | нет |
| Готовое к использованию | нет |
| Концентрация | 1мг/мл |
| Конъюгат | нет |
| Валидировано для | IHC Иммуногистохимия |
| Рекомендуемые разведения | IHC 1:50-1:100 |
| Метод очистки | Аффинная хроматография |
| Состав буфера | PBS с 0.02% азид натрия, 50% глицерин, pH7.3 |
| RRID | AB_527931 |
| Условия доставки | термобокс с аккумуляторами холода |
| Условия хранения | Хранить при -20°C - 12 месяцев. Избегать повторяющихся циклов замораживания/оттаивания |
| Срок хранения | 12 месяцев |
| Производитель | Elabscience |
| Ссылка на страницу товара на сайте производителя | https://www.elabscience.com/p-wnt5b_polyclonal_antibody-e_ab_62539 |
|
Артикул
|
Наименование |
Производитель
|
|---|
|
Артикул
|
Наименование |
Производитель
|
|---|
|
Артикул
|
Наименование |
Производитель
|
|---|
|
Артикул
|
Наименование |
Производитель
|
|---|
Акции и предложения
Популярные продукты:
STOML1 Mouse Monoclonal Antibody (BF8923)
Источник (хозяин): мышь
Реактивность подтвержденная: человек, мышь, крыса
Валидировано для: WB
Реактивность подтвержденная: человек, мышь, крыса
Валидировано для: WB
HNRPA3 Mouse Monoclonal Antibody (BF8458)
Источник (хозяин): мышь
Реактивность подтвержденная: человек, крыса
Валидировано для: IHC, WB
Реактивность подтвержденная: человек, крыса
Валидировано для: IHC, WB
Anti-Cardiolipin Antibody (SAb2249) (RGP13202)
Источник (хозяин): мышь
Реактивность подтвержденная: для всех
Валидировано для: ELISA, WB
Реактивность подтвержденная: для всех
Валидировано для: ELISA, WB
ELISA Kit DIY Materials for Apolipoprotein E (APOE) (KSA704Ca01)
Организм: собака
Диапазон определения: 1.56-100 нг/мл
Чувствительность: 0.65 нг/мл
Диапазон определения: 1.56-100 нг/мл
Чувствительность: 0.65 нг/мл

