| UNIPROT | Q16670 |
| Иммуноген | Синтетический пептид, соответствующий human ZNF187 во внутренней части белка |
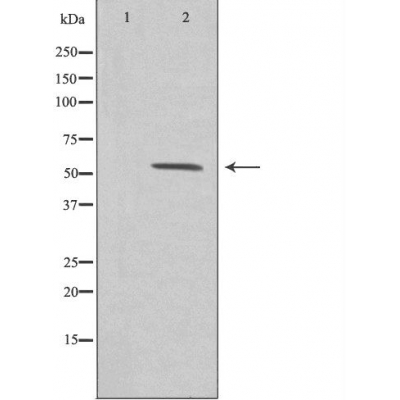
ZNF187 Antibody (DF3305)
Реактивность подтвержденная:
человек
Источник (хозяин):
кролик
Валидировано для:
WB
IF
ICC
Характеристики
Техническое описание
| Каталожный номер | DF3305 |
| Название антигена | Zinc Finger Protein 187 (ZNF187) |
| UNIPROT | Q16670 |
| Иммуноген | Синтетический пептид, соответствующий human ZNF187 во внутренней части белка |
| Английские синонимы | SRE-ZBP, ZSCAN26, Zinc finger and SCAN domain-containing protein 26 |
Реактивность подтвержденная Нужна другая реактивность? |
человек |
| Источник (хозяин) | кролик |
| Изотип | IgG |
| Клональность | поликлональное |
| Рекомбинантное | нет |
| Готовое к использованию | нет |
| Концентрация | 1 мг/мл |
| Конъюгат | нет |
| Валидировано для | WB IF ICC Вестерн-блоттинг; Иммунофлуоресценция; Иммуноцитохимия |
| Рекомендуемые разведения | WB: 1:500-1:1000; IF/ICC: 1:100-1:500; Оптимальное разведение определяется конечным потребителем |
| Метод очистки | Антисыворотку очищали методом аффинной хроматографии пептидов с использованием связывающей смолы SulfoLink® (Thermo Fisher Scientific) |
| Состав буфера | Rabbit IgG в PBS; pH 7.4; 150mM NaCl; 0.02% азид натрия и 50% глицерин |
| RRID | AB_2835673 |
| Условия доставки | Термобокс с аккумуляторами холода |
| Условия хранения | Хранить при -20ºС. Стабилен 12 месяцев с даты получения |
| Срок хранения | 12 месяцев |
| Производитель | Affinity |
| Ссылка на страницу товара на сайте производителя | https://www.affbiotech.com/goods-2442-DF3305-ZNF187_Antibody.html |
|
Артикул
|
Наименование |
Производитель
|
|---|
Акции и предложения
Популярные продукты:
Goat Macrophage stimulating protein ELISA kit (E06M0006)
Организм: коза
OR4C16 Antibody (DF5090)
Источник (хозяин): кролик
Реактивность подтвержденная: человек
Валидировано для: WB, IF, ICC
Реактивность подтвержденная: человек
Валидировано для: WB, IF, ICC
OR52N4 Antibody (DF5031)
Источник (хозяин): кролик
Реактивность подтвержденная: человек, мышь
Валидировано для: WB, IF, ICC
Реактивность подтвержденная: человек, мышь
Валидировано для: WB, IF, ICC
ZNF187 Antibody (DF3305)
Источник (хозяин): кролик
Реактивность подтвержденная: человек
Валидировано для: WB, IF, ICC
Реактивность подтвержденная: человек
Валидировано для: WB, IF, ICC
TRIM37 Antibody (DF14825)
Источник (хозяин): кролик
Реактивность подтвержденная: человек, мышь
Валидировано для: IHC, WB, IF, ICC
Реактивность подтвержденная: человек, мышь
Валидировано для: IHC, WB, IF, ICC

