| UNIPROT | P04637 |
| Иммуноген | Синтетический пептид, соответствующий human P53 в районе сайта ацетилирования Lys386 |
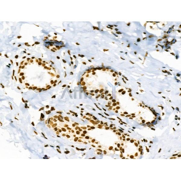
Acetyl-P53 (Lys386) Antibody (AF3746)
Реактивность подтвержденная:
человек, крыса
Источник (хозяин):
кролик
Валидировано для:
IHC
IF
ICC
Характеристики
Техническое описание
| Каталожный номер | AF3746 |
| Название антигена | Tumor Protein p53 (TP53) |
| UNIPROT | P04637 |
| Иммуноген | Синтетический пептид, соответствующий human P53 в районе сайта ацетилирования Lys386 |
| Английские синонимы | p53, LFS1, TRP53, Li-Fraumeni Syndrome, Cellular tumor antigen p53, Antigen NY-CO-13, Phosphoprotein p53, Tumor suppressor p53 |
| Русские синонимы | белок p53, Клеточный опухолевый антиген p53, Опухолевый супрессор p53, Фосфопротеин p53, Антиген NY-CO-13 |
Реактивность подтвержденная Нужна другая реактивность? |
человек, крыса |
| Источник (хозяин) | кролик |
| Изотип | IgG |
| Клональность | поликлональное |
| Рекомбинантное | нет |
| Готовое к использованию | нет |
| Концентрация | 1 мг/мл |
| Конъюгат | нет |
| Валидировано для | IHC IF ICC Иммуногистохимия; Иммунофлуоресценция; Иммуноцитохимия |
| Рекомендуемые разведения | IHC: 1:50-1:200; IF/ICC: 1:100-1:500; Оптимальное разведение определяется конечным потребителем |
| Метод очистки | Антисыворотку очищали методом аффинной хроматографии пептидов с использованием связывающей смолы SulfoLink® (Thermo Fisher Scientific) |
| Состав буфера | Rabbit IgG в PBS; pH 7.4; 150mM NaCl; 0.02% азид натрия и 50% глицерин |
| RRID | AB_2847060 |
| Условия доставки | Термобокс с аккумуляторами холода |
| Условия хранения | Хранить при -20ºС. Стабилен 12 месяцев с даты получения |
| Срок хранения | 12 месяцев |
| Производитель | Affinity |
| Ссылка на страницу товара на сайте производителя | https://www.affbiotech.com/goods-17421-AF3746-Acetyl_P53_Lys386_Antibody.html |
|
Артикул
|
Наименование |
Производитель
|
|---|
|
Артикул
|
Наименование |
Производитель
|
|---|
|
Артикул
|
Наименование |
Производитель
|
|---|
|
Артикул
|
Наименование |
Производитель
|
|---|
|
Артикул
|
Наименование |
Производитель
|
|---|
|
Артикул
|
Наименование |
Производитель
|
|---|
|
Артикул
|
Наименование |
Производитель
|
|---|
|
Артикул
|
Наименование |
Производитель
|
|---|
Акции и предложения
Популярные продукты:
Human Neuropeptide Y receptor type 1(NPY1R) ELISA kit (E01N0559)
Организм: человек
Диапазон определения: 1-25 нг/мл
Чувствительность: 0.1 нг/мл
Диапазон определения: 1-25 нг/мл
Чувствительность: 0.1 нг/мл
Anti-Human WNT7A Polyclonal Antibody (PHA18801)
Источник (хозяин): кролик
Реактивность подтвержденная: человек
Валидировано для: ELISA, IHC, WB
Реактивность подтвержденная: человек
Валидировано для: ELISA, IHC, WB
Anti-Phospho-p53 (pT18) Antibody (23#) (RHC10001)
Источник (хозяин): мышь
Реактивность подтвержденная: человек
Валидировано для: IHC, IP, WB
Реактивность подтвержденная: человек
Валидировано для: IHC, IP, WB
Recombinant Human COL11A1 Protein, N-His (YHC92101)
Источник (хозяин): E.coli
Организм: человек
Фрагмент: Asp1564-Gly1806
Теги: N-His
Биоактивность: нет
Организм: человек
Фрагмент: Asp1564-Gly1806
Теги: N-His
Биоактивность: нет
Anti-BAX Antibody (R3R51) (RHG13208)
Источник (хозяин): мышь
Реактивность подтвержденная: человек, мышь, крыса, кролик, обезьяна
Валидировано для: ELISA, FCM, IHC, WB
Реактивность подтвержденная: человек, мышь, крыса, кролик, обезьяна
Валидировано для: ELISA, FCM, IHC, WB

