| UNIPROT | O96019 |
| Иммуноген | Синтетический пептид, соответствующий human ACTL6A |
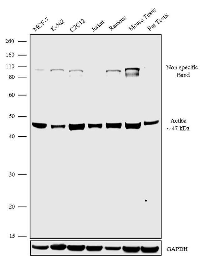
ACTL6A Recombinant Rabbit mAb (ARM2627)
Реактивность подтвержденная:
человек, мышь, крыса
Источник (хозяин):
кролик
Валидировано для:
IHC
IP
WB
IF
ICC
Характеристики
Техническое описание
| Каталожный номер | ARM2627 |
| Название антигена | Actin Like Protein 6A (ACTL6A) |
| UNIPROT | O96019 |
| Иммуноген | Синтетический пептид, соответствующий human ACTL6A |
| Английские синонимы | Actl6, BAF53A, Arp4, Baf53a, INO80K, BAF Complex 53 kDa Subunit, 53 kDa BRG1-associated factor A, Actin-Related Protein 4, INO80 Complex Subunit K |
Реактивность подтвержденная Нужна другая реактивность? |
человек, мышь, крыса |
| Источник (хозяин) | кролик |
| Изотип | IgG |
| Клональность | моноклональное |
| Рекомбинантное | да |
| Готовое к использованию | нет |
| Концентрация | 1 мг/мл |
| Конъюгат | По запросу: HRP, biotin, Cy3, Cy5, APC, AF488, AF594, AF405 |
| Валидировано для | IHC IP WB IF ICC Иммуногистохимия; Иммунопреципитация; Вестерн-блоттинг; Иммунофлуоресценция; Иммуноцитохимия |
| Рекомендуемые разведения | WB 1:500~1:2000; IHC 1:50~1:200; IF/ICC 1:50~1:200; IP 1:50 |
| Метод очистки | Антигенспецифическая аффинная хроматография |
| Состав буфера | 50 нмоль Tris-Glycine(pH 7.4); 0.15M NaCl; 40% глицерин; 0.01% азид натрия и 0.05% БСА |
| Условия доставки | термобокс с аккумуляторами холода |
| Условия хранения | Сразу после получения аликвотировать и хранить при -20ºС до 12 месяцев с момента получения. Избегать повторения циклов замерзания/оттаивания |
| Срок хранения | 12 месяцев |
| Производитель | AssayVector |
|
Артикул
|
Наименование |
Производитель
|
|---|
|
Артикул
|
Наименование |
Производитель
|
|---|
|
Артикул
|
Наименование |
Производитель
|
|---|
Акции и предложения
Популярные продукты:
Rat Periostin ELISA kit (E02P0110)
Организм: крыса
Mouse Alpha B Crystallin ELISA kit (E03C0343)
Организм: мышь
Porcine Transcription factor SOX-3(SOX3) ELISA kit (E07T0648)
Организм: свинья
Anti-Human P2RX6 Polyclonal Antibody (PHA57201)
Источник (хозяин): кролик
Реактивность подтвержденная: человек
Валидировано для: ELISA, IHC, WB
Реактивность подтвержденная: человек
Валидировано для: ELISA, IHC, WB
Recombinant Human PLOD1 Protein, N-GST (YHF95901)
Источник (хозяин): E.coli
Организм: человек
Фрагмент: Gln636-Pro727
Теги: N-GST
Биоактивность: нет
Организм: человек
Фрагмент: Gln636-Pro727
Теги: N-GST
Биоактивность: нет
Recombinant Human CNN1 Protein, N-His (YHE89901)
Источник (хозяин): E.coli
Организм: человек
Фрагмент: Met1-Tyr268
Теги: N-His
Биоактивность: нет
Организм: человек
Фрагмент: Met1-Tyr268
Теги: N-His
Биоактивность: нет

