| UNIPROT | P04075 |
| Иммуноген | Синтетический пептид, соответствующий human Aldolase |
ALDOA Recombinant Rabbit mAb (ARM2713)
Реактивность подтвержденная:
человек, мышь, крыса
Источник (хозяин):
кролик
Валидировано для:
FCM
IHC
WB
IF
ICC
Характеристики
Техническое описание
| Каталожный номер | ARM2713 |
| Название антигена | Aldolase A, Fructose Bisphosphate (ALDOA) |
| UNIPROT | P04075 |
| Иммуноген | Синтетический пептид, соответствующий human Aldolase |
| Английские синонимы | FBA, ALDO-A, Fructose 1,6 Bisphosphate Aldolase, Lung cancer antigen NY-LU-1, Muscle-type aldolase |
Реактивность подтвержденная Нужна другая реактивность? |
человек, мышь, крыса |
| Источник (хозяин) | кролик |
| Изотип | IgG |
| Клональность | моноклональное |
| Рекомбинантное | да |
| Готовое к использованию | нет |
| Концентрация | 1 мг/мл |
| Конъюгат | По запросу: HRP, biotin, Cy3, Cy5, APC, AF488, AF594, AF405 |
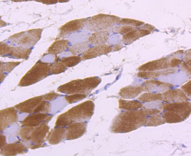
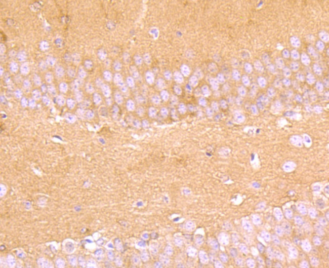
| Валидировано для | FCM IHC WB IF ICC Проточная цитометрия; Иммуногистохимия; Вестерн-блоттинг; Иммунофлуоресценция; Иммуноцитохимия |
| Рекомендуемые разведения | WB 1:500~1:2000; IHC 1:50~1:200; IF/ICC 1:50~1:200; FCM 1:50 |
| Метод очистки | Антигенспецифическая аффинная хроматография |
| Состав буфера | 50 нмоль Tris-Glycine(pH 7.4); 0.15M NaCl; 40% глицерин; 0.01% азид натрия и 0.05% БСА |
| Условия доставки | термобокс с аккумуляторами холода |
| Условия хранения | Сразу после получения аликвотировать и хранить при -20ºС до 12 месяцев с момента получения. Избегать повторения циклов замерзания/оттаивания |
| Срок хранения | 12 месяцев |
| Производитель | AssayVector |
|
Артикул
|
Наименование |
Производитель
|
|---|
|
Артикул
|
Наименование |
Производитель
|
|---|
|
Артикул
|
Наименование |
Производитель
|
|---|
|
Артикул
|
Наименование |
Производитель
|
|---|
Акции и предложения
Популярные продукты:
Mouse F box/LRR repeat protein 4(FBXL4) ELISA kit (E03F0325)
Организм: мышь
Porcine Tachykinin Receptor 2 ELISA kit (E07T0072)
Организм: свинья
Recombinant Human ApoH protein (His tag) (PDMH100125)
Источник (хозяин): HEK293
Организм: человек
Фрагмент: Met 1-Cys 345
Теги: C-His
Биоактивность: нет
Организм: человек
Фрагмент: Met 1-Cys 345
Теги: C-His
Биоактивность: нет
HEK 293 Host Cell Protein (HEK 293 HCP) ELISA kit, G2 (HH-H0019-2)
Организм: HEK293
Диапазон определения: 3.125-100 нг/мл
Чувствительность: LOD: 0.78 нг/мл; LOQ: 3.1 нг/мл
Диапазон определения: 3.125-100 нг/мл
Чувствительность: LOD: 0.78 нг/мл; LOQ: 3.1 нг/мл
Recombinant Human RPL24 Protein, N-His (YHF75001)
Источник (хозяин): E.coli
Организм: человек
Фрагмент: Met1-Lys131
Теги: N-His
Биоактивность: нет
Организм: человек
Фрагмент: Met1-Lys131
Теги: N-His
Биоактивность: нет

