| UNIPROT | Q16352 |
| Иммуноген | Синтетический пептид, соответствующий human alpha Internexin |
alpha Internexin Recombinant Rabbit mAb (ARM1367)
Реактивность подтвержденная:
человек, мышь, крыса
Источник (хозяин):
кролик
Валидировано для:
IHC
WB
IF
ICC
Характеристики
Техническое описание
| Каталожный номер | ARM1367 |
| Название антигена | Internexin Neuronal Intermediate Filament Protein Alpha (INa) |
| UNIPROT | Q16352 |
| Иммуноген | Синтетический пептид, соответствующий human alpha Internexin |
| Английские синонимы | NEF5, NF-66, 66 kDa neurofilament protein, Neurofilament-66, Neurofilament 5 |
Реактивность подтвержденная Нужна другая реактивность? |
человек, мышь, крыса |
| Источник (хозяин) | кролик |
| Изотип | IgG |
| Клональность | моноклональное |
| Рекомбинантное | да |
| Готовое к использованию | нет |
| Концентрация | 1 мг/мл |
| Конъюгат | По запросу: HRP, biotin, Cy3, Cy5, APC, AF488, AF594, AF405 |
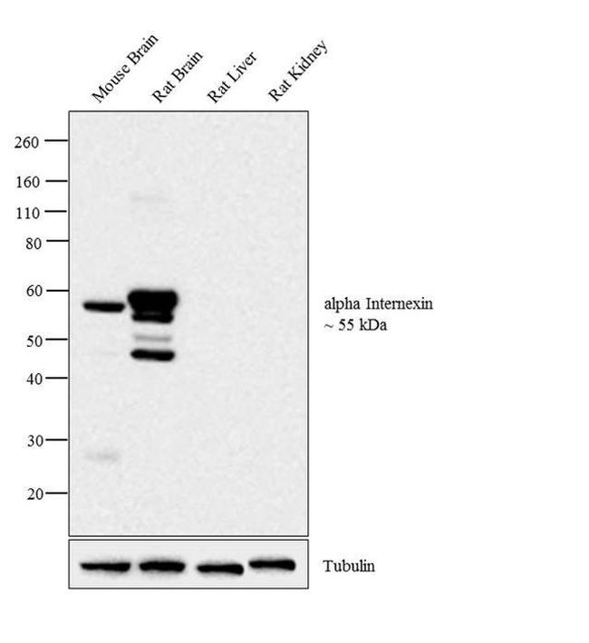
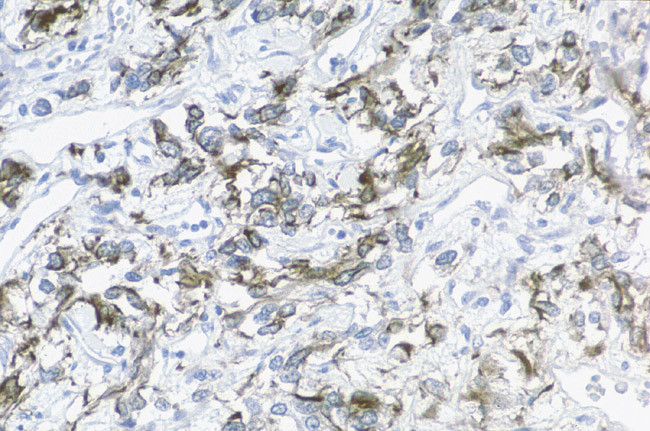
| Валидировано для | IHC WB IF ICC Иммуногистохимия; Вестерн-блоттинг; Иммунофлуоресценция; Иммуноцитохимия |
| Рекомендуемые разведения | WB 1:500~1:2000; IHC 1:50~1:200; IF/ICC 1:50~1:200 |
| Метод очистки | Антигенспецифическая аффинная хроматография |
| Состав буфера | 50 нмоль Tris-Glycine(pH 7.4); 0.15M NaCl; 40% глицерин; 0.01% азид натрия и 0.05% БСА |
| Условия доставки | термобокс с аккумуляторами холода |
| Условия хранения | Сразу после получения аликвотировать и хранить при -20ºС до 12 месяцев с момента получения. Избегать повторения циклов замерзания/оттаивания |
| Срок хранения | 12 месяцев |
| Производитель | AssayVector |
|
Артикул
|
Наименование |
Производитель
|
|---|
|
Артикул
|
Наименование |
Производитель
|
|---|
|
Артикул
|
Наименование |
Производитель
|
|---|
Акции и предложения
Популярные продукты:
Monoclonal Antibody to Cadherin 5 (CDH5) (MAB366Hu26)
Источник (хозяин): мышь
Реактивность подтвержденная: человек
Валидировано для: WB
Реактивность подтвержденная: человек
Валидировано для: WB
Anti-Human CD138/SDC1 Antibody (Fs0317), PE (FHD30823)
Источник (хозяин): мышь
Реактивность подтвержденная: человек
Валидировано для: ELISA, FCM, IF, WB
Реактивность подтвержденная: человек
Валидировано для: ELISA, FCM, IF, WB
Polyclonal Antibody to Epidermal Growth Factor (EGF) (PAA560Hu07)
Источник (хозяин): кролик
Реактивность подтвержденная: человек
Валидировано для: WB
Реактивность подтвержденная: человек
Валидировано для: WB
Monoclonal Antibody to Epidermal Growth Factor (EGF) (MAA560Hu28)
Источник (хозяин): мышь
Реактивность подтвержденная: человек
Валидировано для: WB
Реактивность подтвержденная: человек
Валидировано для: WB
Bovine Phosphoenolpyruvic acid (PEP) ELISA kit (E11P1086)
Организм: корова

