| UNIPROT | Q13131 |
| Иммуноген | Синтетический пептид |
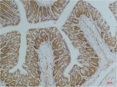
AMPK alpha1 Monoclonal Antibody (E-AB-22125)
Реактивность подтвержденная:
человек, мышь, крыса
Источник (хозяин):
мышь
Валидировано для:
IHC
WB
Характеристики
Техническое описание
| Каталожный номер | E-AB-22125 |
| Название антигена | Protein Kinase, AMP Activated Alpha 1 (PRKAa1) |
| UNIPROT | Q13131 |
| Иммуноген | Синтетический пептид |
| Английские синонимы | AMPK, AMPKa1, PKA, ACACA kinase, 5 |
Реактивность подтвержденная Нужна другая реактивность? |
человек, мышь, крыса |
| Источник (хозяин) | мышь |
| Изотип | IgG |
| Клональность | моноклональное |
| Клон | 6B6 |
| Рекомбинантное | нет |
| Готовое к использованию | нет |
| Концентрация | 1 мг/мл |
| Конъюгат | нет |
| Валидировано для | IHC WB Иммуногистохимия; Вестерн-блоттинг |
| Рекомендуемые разведения | WB 1:1000-2000; IHC 1:50-100 |
| Метод очистки | Очистка с белком А |
| Состав буфера | PBS с 0.02% азид натрия, 0.5% стабилизирующий белок и 50% глицерин, pH7.4 |
| RRID | AB_545346 |
| Условия доставки | термобокс с аккумуляторами холода |
| Условия хранения | Хранить при -20°C - 12 месяцев. Избегать повторяющихся циклов замораживания/оттаивания |
| Срок хранения | 12 месяцев |
| Производитель | Elabscience |
| Ссылка на страницу товара на сайте производителя | https://www.elabscience.com/p-ampk_alpha1_monoclonal_antibody-e_ab_22125 |
|
Артикул
|
Наименование |
Производитель
|
|---|
|
Артикул
|
Наименование |
Производитель
|
|---|
|
Артикул
|
Наименование |
Производитель
|
|---|
|
Артикул
|
Наименование |
Производитель
|
|---|
|
Артикул
|
Наименование |
Производитель
|
|---|
Акции и предложения
Популярные продукты:
Bovine adrenomedullin 2 (ADM2) ELISA kit (E11A1275)
Организм: корова
Goat Transcription factor 15(TCF15) ELISA kit (E06T0670)
Организм: коза
Chicken Chimerin 1 ELISA kit (E12C2776)
Организм: курица
Recombinant Human NPY protein (GST tag) (PDEH100854)
Источник (хозяин): E.coli
Организм: человек
Фрагмент: Pro 30-Trp 97
Теги: N-GST
Биоактивность: нет
Организм: человек
Фрагмент: Pro 30-Trp 97
Теги: N-GST
Биоактивность: нет

