| UNIPROT | O15123 |
| Иммуноген | Синтетический пептид, соответствующий human Angiopoietin 2 |
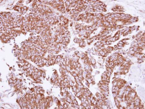
Angiopoietin 2 Recombinant Rabbit mAb (ARM1523)
Реактивность подтвержденная:
человек, мышь, крыса
Источник (хозяин):
кролик
Валидировано для:
IHC
WB
Характеристики
Техническое описание
| Каталожный номер | ARM1523 |
| Название антигена | Angiopoietin 2 (ANGPT2) |
| UNIPROT | O15123 |
| Иммуноген | Синтетический пептид, соответствующий human Angiopoietin 2 |
| Английские синонимы | ANG2, AGPT2 |
Реактивность подтвержденная Нужна другая реактивность? |
человек, мышь, крыса |
| Источник (хозяин) | кролик |
| Изотип | IgG |
| Клональность | моноклональное |
| Рекомбинантное | да |
| Готовое к использованию | нет |
| Концентрация | 1 мг/мл |
| Конъюгат | По запросу: HRP, biotin, Cy3, Cy5, APC, AF488, AF594, AF405 |
| Валидировано для | IHC WB Иммуногистохимия; Вестерн-блоттинг |
| Рекомендуемые разведения | WB 1:500~1:2000; IHC 1:50~1:200 |
| Метод очистки | Антигенспецифическая аффинная хроматография |
| Состав буфера | 50 нмоль Tris-Glycine(pH 7.4); 0.15M NaCl; 40% глицерин; 0.01% азид натрия и 0.05% БСА |
| Условия доставки | термобокс с аккумуляторами холода |
| Условия хранения | Сразу после получения аликвотировать и хранить при -20ºС до 12 месяцев с момента получения. Избегать повторения циклов замерзания/оттаивания |
| Срок хранения | 12 месяцев |
| Производитель | AssayVector |
|
Артикул
|
Наименование |
Производитель
|
|---|
|
Артикул
|
Наименование |
Производитель
|
|---|
|
Артикул
|
Наименование |
Производитель
|
|---|
|
Артикул
|
Наименование |
Производитель
|
|---|
|
Артикул
|
Наименование |
Производитель
|
|---|
|
Артикул
|
Наименование |
Производитель
|
|---|
|
Артикул
|
Наименование |
Производитель
|
|---|
|
Артикул
|
Наименование |
Производитель
|
|---|
|
Артикул
|
Наименование |
Производитель
|
|---|
Акции и предложения
Популярные продукты:
Guinea Pig Mitofusin 1 ELISA kit (E05M1101)
Организм: морская свинка
Angiopoietin 2 Recombinant Rabbit mAb (ARM1523)
Источник (хозяин): кролик
Реактивность подтвержденная: человек, мышь, крыса
Валидировано для: IHC, WB
Реактивность подтвержденная: человек, мышь, крыса
Валидировано для: IHC, WB
PPP1R9A Antibody (DF8257)
Источник (хозяин): кролик
Реактивность подтвержденная: человек, мышь
Валидировано для: WB, IF, ICC
Реактивность подтвержденная: человек, мышь
Валидировано для: WB, IF, ICC
Polyclonal Antibody to Aromatase (ARO) (PAC319Ra01)
Источник (хозяин): кролик
Реактивность подтвержденная: крыса
Валидировано для: WB
Реактивность подтвержденная: крыса
Валидировано для: WB
ELISA Kit for Insulin (INS) (RA448C-Mu)
Организм: мышь
Диапазон определения: 6.17-500 пг/мл
Чувствительность: 2.65 пг/мл
Диапазон определения: 6.17-500 пг/мл
Чувствительность: 2.65 пг/мл
Recombinant Disabled Homolog 1 (DAB1) (RPG171Ra01)
Источник (хозяин): E.coli
Организм: крыса
Фрагмент: Tyr42-Glu168
Теги: N-концевой His-Tag
Биоактивность: нет
Организм: крыса
Фрагмент: Tyr42-Glu168
Теги: N-концевой His-Tag
Биоактивность: нет

