| UNIPROT | P09525 |
| Иммуноген | Рекомбинантный белок human Annexin-4/ANXA4 |
Annexin 4 Recombinant Rabbit mAb (ARM2423)
Реактивность подтвержденная:
человек, мышь, крыса
Источник (хозяин):
кролик
Валидировано для:
FCM
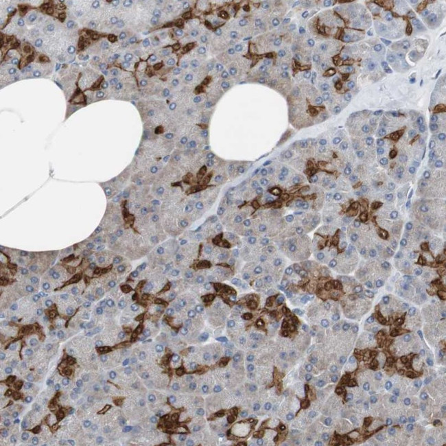
IHC
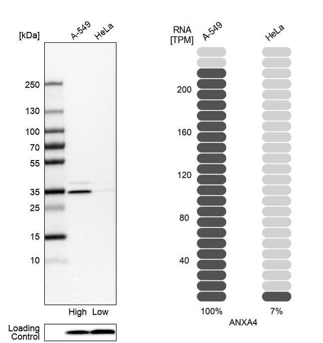
WB
IF
ICC
Характеристики
Техническое описание
| Каталожный номер | ARM2423 |
| Название антигена | Annexin A4 (ANXA4) |
| UNIPROT | P09525 |
| Иммуноген | Рекомбинантный белок human Annexin-4/ANXA4 |
| Английские синонимы | ANX-A4, ANX4, PIG28, 35-beta calcimedin, Carbohydrate-binding protein p33/p41, Chromobindin-4, Endonexin I, Lipocortin IV, Placental anticoagulant protein II |
Реактивность подтвержденная Нужна другая реактивность? |
человек, мышь, крыса |
| Источник (хозяин) | кролик |
| Изотип | IgG |
| Клональность | моноклональное |
| Рекомбинантное | да |
| Готовое к использованию | нет |
| Концентрация | 1 мг/мл |
| Конъюгат | По запросу: HRP, biotin, Cy3, Cy5, APC, AF488, AF594, AF405 |
| Валидировано для | FCM IHC WB IF ICC Проточная цитометрия; Иммуногистохимия; Вестерн-блоттинг; Иммунофлуоресценция; Иммуноцитохимия |
| Рекомендуемые разведения | WB 1:500~1:2000; IHC 1:50~1:200; IF/ICC 1:50~1:200; FCM 1:50 |
| Метод очистки | Антигенспецифическая аффинная хроматография |
| Состав буфера | 50 нмоль Tris-Glycine(pH 7.4); 0.15M NaCl; 40% глицерин; 0.01% азид натрия и 0.05% БСА |
| Условия доставки | термобокс с аккумуляторами холода |
| Условия хранения | Сразу после получения аликвотировать и хранить при -20ºС до 12 месяцев с момента получения. Избегать повторения циклов замерзания/оттаивания |
| Срок хранения | 12 месяцев |
| Производитель | AssayVector |
|
Артикул
|
Наименование |
Производитель
|
|---|
|
Артикул
|
Наименование |
Производитель
|
|---|
|
Артикул
|
Наименование |
Производитель
|
|---|
|
Артикул
|
Наименование |
Производитель
|
|---|
|
Артикул
|
Наименование |
Производитель
|
|---|
|
Артикул
|
Наименование |
Производитель
|
|---|
|
Артикул
|
Наименование |
Производитель
|
|---|
|
Артикул
|
Наименование |
Производитель
|
|---|
|
Артикул
|
Наименование |
Производитель
|
|---|
Акции и предложения
Популярные продукты:
ELISA Kit DIY Materials for Defensin Alpha 1, Neutrophil (DEFa1) (KSB705Mu01)
Организм: мышь
Диапазон определения: 1.56-100 нг/мл
Чувствительность: 0.62 нг/мл
Диапазон определения: 1.56-100 нг/мл
Чувствительность: 0.62 нг/мл
Polyclonal Antibody to Platelet Factor 4 (PF4) (PAA172Hu02)
Источник (хозяин): кролик
Реактивность подтвержденная: человек
Валидировано для: WB
Реактивность подтвержденная: человек
Валидировано для: WB
Guinea Pig β parvin(PARVB) ELISA kit (E05B0959)
Организм: морская свинка
Rabbit CTP synthase 1(CTPS) ELISA kit (E04C2156)
Организм: кролик
Mouse Cyclin C(CCNC) ELISA kit (E03C1446)
Организм: мышь

