| UNIPROT | O95831 |
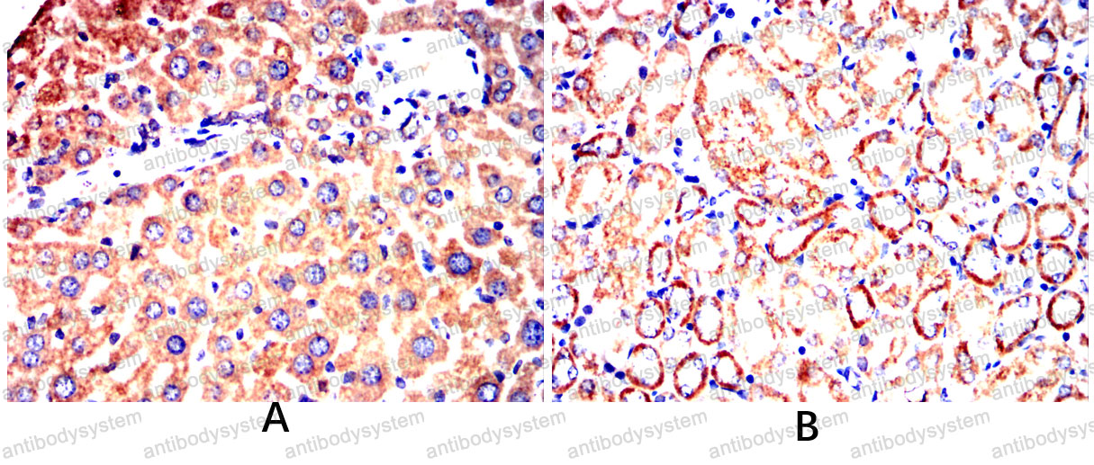
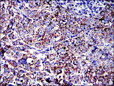
Anti-AIFM1/AIF Antibody (R2W44) (RHB76001)
Реактивность подтвержденная:
человек, мышь, крыса, обезьяна
Источник (хозяин):
мышь
Валидировано для:
ELISA
FCM
IF
IHC
WB
Характеристики
Техническое описание
| Русское название | RHB76001 Моноклональное антитело к AIFM1/AIF (R2W44) <AntibodySystem,Китай> |
| Каталожный номер | RHB76001 |
| Название антигена | Apoptosis Inducing Factor (AIF) |
| UNIPROT | O95831 |
| Английские синонимы | PDCD8, Programmed Cell Death protein 8, Apoptosis-inducing factor 1, mitochondrial |
Реактивность подтвержденная Нужна другая реактивность? |
человек, мышь, крыса, обезьяна |
| Источник (хозяин) | мышь |
| Изотип | IgG2b |
| Клональность | моноклональное |
| Клон | R2W44 |
| Рекомбинантное | да |
| Готовое к использованию | нет |
| Концентрация | 1 мг/мл |
| Конъюгат | нет |
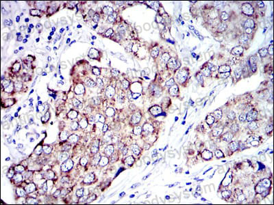
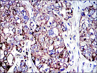
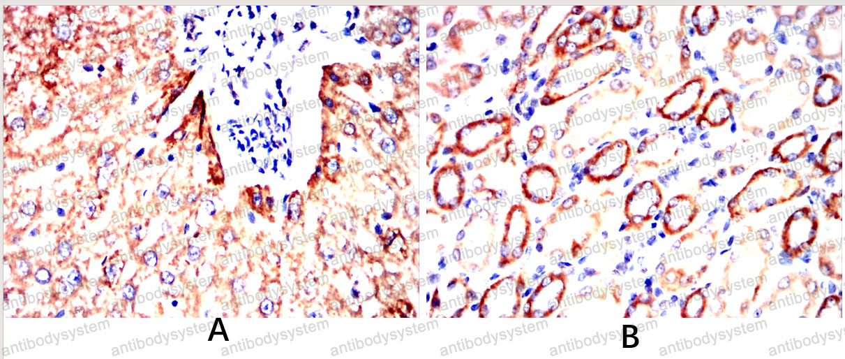
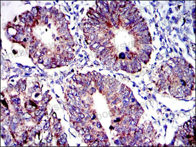
| Валидировано для | ELISA FCM IF IHC WB Иммуноферментный анализ; Проточная цитометрия; Иммунофлуоресценция; Иммуногистохимия; Вестерн-блоттинг |
| Рекомендуемые разведения | ELISA: 1:10000, FCM: 1:200-1:400, IF: 1:200-1:1000, IHC: 1:200-1:1000, WB: 1:500-1:2000 |
| Метод очистки | Очистка с белками A/G из супернатанта клеточной культуры |
| Чистота | >95% |
| Состав буфера | 0.01M PBS, pH 7.4, 0.05% натрия азид |
| Условия доставки | термобокс с аккумуляторами холода |
| Условия хранения | Хранить при 4°C не более 1-2 недель. Хранить при -20°C - 12 месяцев |
| Срок хранения | 12 месяцев |
| Производитель | AntibodySystem |
| Ссылка на страницу товара на сайте производителя | https://www.antibodysystem.com/product/34330.html |
|
Артикул
|
Наименование |
Производитель
|
|---|
|
Артикул
|
Наименование |
Производитель
|
|---|
|
Артикул
|
Наименование |
Производитель
|
|---|
Акции и предложения
Популярные продукты:
Recombinant Glyceraldehyde-3-Phosphate Dehydrogenase (GAPDH) (RPB932Hu03)
Источник (хозяин): E.coli
Организм: человек
Фрагмент: Gly2-Val324
Теги: N-концевой His-Tag
Биоактивность: нет
Организм: человек
Фрагмент: Gly2-Val324
Теги: N-концевой His-Tag
Биоактивность: нет
Recombinant Hemojuvelin (HJV) (RPB995Mu02)
Источник (хозяин): E.coli
Организм: мышь
Теги: N-концевой His-Tag
Биоактивность: нет
Организм: мышь
Теги: N-концевой His-Tag
Биоактивность: нет
Recombinant Hemojuvelin (HJV) (RPB995Hu04)
Источник (хозяин): E.coli
Организм: человек
Фрагмент: Gln36-Phe200
Теги: N-концевые His-Tag и GST-Tag
Биоактивность: нет
Организм: человек
Фрагмент: Gln36-Phe200
Теги: N-концевые His-Tag и GST-Tag
Биоактивность: нет
Recombinant Hemojuvelin (HJV) (RPB995Hu02)
Источник (хозяин): E.coli
Организм: человек
Фрагмент: Arg41-Ala386
Теги: N-концевой His-Tag
Биоактивность: нет
Организм: человек
Фрагмент: Arg41-Ala386
Теги: N-концевой His-Tag
Биоактивность: нет
Recombinant Hemojuvelin (HJV) (RPB995Mu01)
Источник (хозяин): E.coli
Организм: мышь
Фрагмент: Cys34-Asp393
Теги: N-концевые His-Tag и GST-Tag
Биоактивность: нет
Организм: мышь
Фрагмент: Cys34-Asp393
Теги: N-концевые His-Tag и GST-Tag
Биоактивность: нет
Recombinant Hemojuvelin (HJV) (RPB995Hu01)
Источник (хозяин): E.coli
Организм: человек
Фрагмент: Lys234-Ser416
Теги: N-концевой His-Tag
Биоактивность: нет
Организм: человек
Фрагмент: Lys234-Ser416
Теги: N-концевой His-Tag
Биоактивность: нет

