| UNIPROT | Q07812 |
Anti-BAX Antibody (R3R55) (RHG13212)
Реактивность подтвержденная:
человек, мышь, крыса
Источник (хозяин):
мышь
Валидировано для:
ELISA
FCM
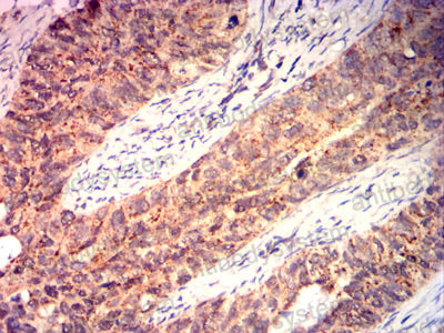
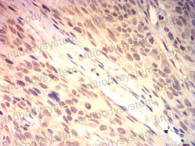
IHC
WB
Характеристики
Техническое описание
| Русское название | RHG13212 Моноклональное антитело к BAX (R3R55) <AntibodySystem,Китай> |
| Каталожный номер | RHG13212 |
| Название антигена | Bcl2 Associated X Protein (Bax) |
| UNIPROT | Q07812 |
| Английские синонимы | BCL2L4, Bax Zeta, Apoptosis regulator BAX, Bcl-2-like protein 4 |
Реактивность подтвержденная Нужна другая реактивность? |
человек, мышь, крыса |
| Источник (хозяин) | мышь |
| Изотип | IgG2b |
| Клональность | моноклональное |
| Клон | R3R55 |
| Рекомбинантное | да |
| Готовое к использованию | нет |
| Концентрация | 1 мг/мл |
| Конъюгат | нет |
| Валидировано для | ELISA FCM IHC WB Иммуноферментный анализ; Проточная цитометрия; Иммуногистохимия; Вестерн-блоттинг |
| Рекомендуемые разведения | ELISA: 1:10000, FCM: 1:200-1:400, IHC: 1:200-1:1000, WB: 1:500-1:2000 |
| Метод очистки | Очистка с белками A/G из супернатанта клеточной культуры |
| Чистота | >95% |
| Состав буфера | 0.01M PBS, pH 7.4, 0.05% натрия азид |
| Условия хранения | Хранить при 4°C не более 1-2 недель. Хранить при -20°C - 12 месяцев |
| Срок хранения | 12 месяцев |
| Производитель | AntibodySystem |
| Ссылка на страницу товара на сайте производителя | https://www.antibodysystem.com/product/36221.html |
|
Артикул
|
Наименование |
Производитель
|
|---|
|
Артикул
|
Наименование |
Производитель
|
|---|
|
Артикул
|
Наименование |
Производитель
|
|---|
|
Артикул
|
Наименование |
Производитель
|
|---|
|
Артикул
|
Наименование |
Производитель
|
|---|
|
Артикул
|
Наименование |
Производитель
|
|---|
|
Артикул
|
Наименование |
Производитель
|
|---|
|
Артикул
|
Наименование |
Производитель
|
|---|
|
Артикул
|
Наименование |
Производитель
|
|---|
Акции и предложения
Популярные продукты:
Human 15 hydroxyprostaglandin dehydrogenase [NAD+](HPGD) ELISA kit (E01H0149)
Организм: человек
Диапазон определения: 1-25 нг/мл
Чувствительность: 0.1 нг/мл
Диапазон определения: 1-25 нг/мл
Чувствительность: 0.1 нг/мл
Human Xanthine dehydrogenase/oxidase ELISA kit (E01X0012)
Организм: человек
Anti-Human BAX Antibody (6A7) (RHG13201)
Источник (хозяин): мышь
Реактивность подтвержденная: мышь
Валидировано для: ELISA, FCM, WB
Реактивность подтвержденная: мышь
Валидировано для: ELISA, FCM, WB
Recombinant Human NOX1 Protein, N-His (YHJ89701)
Источник (хозяин): E.coli
Организм: человек
Фрагмент: Arg54-Glu283
Теги: N-His
Биоактивность: нет
Организм: человек
Фрагмент: Arg54-Glu283
Теги: N-His
Биоактивность: нет
Recombinant Human GRIN2A Protein, N-His (YHG32001)
Источник (хозяин): E.coli
Организм: человек
Фрагмент: Pro23-Ala555
Теги: N-His
Биоактивность: нет
Организм: человек
Фрагмент: Pro23-Ala555
Теги: N-His
Биоактивность: нет

