| UNIPROT | P27797 |
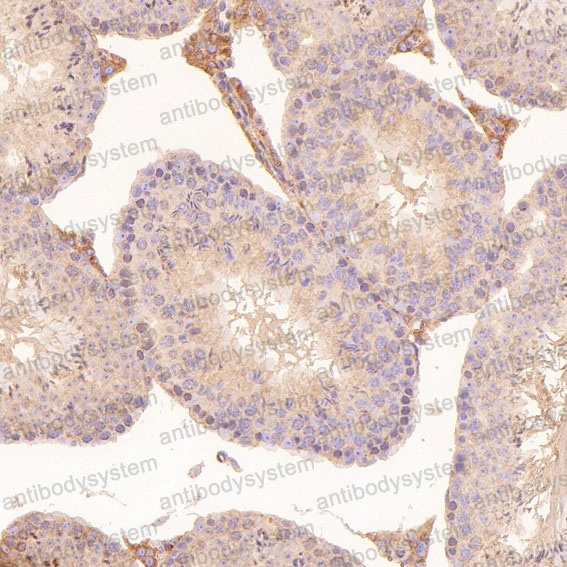
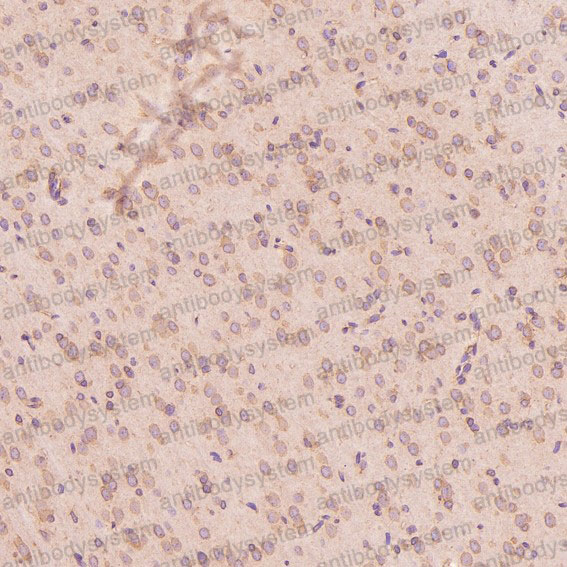
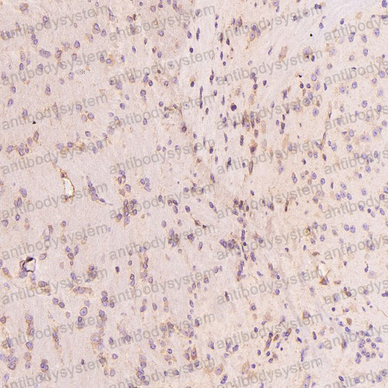
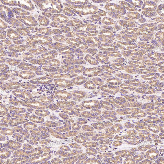
Anti-Calreticulin/CALR Antibody (R1B38) (RHD75201)
Реактивность подтвержденная:
человек, мышь, крыса
Источник (хозяин):
кролик
Валидировано для:
FCM
IF
IHC
IP
WB
Характеристики
Техническое описание
| Русское название | RHD75201 Моноклональное антитело к кальретикулину/CALR (R1B38) <AntibodySystem,Китай> |
| Каталожный номер | RHD75201 |
| Название антигена | Calreticulin (CRT) |
| UNIPROT | P27797 |
| Английские синонимы | CALR, RO, SSA, CC1qR, ERp60, HACBP, grp60, CRTC, CRP55, Calregulin, Sicca Syndrome Antigen A, Autoantigen Ro, Endoplasmic reticulum resident protein 60 |
Реактивность подтвержденная Нужна другая реактивность? |
человек, мышь, крыса |
| Источник (хозяин) | кролик |
| Изотип | IgG |
| Клональность | моноклональное |
| Клон | R1B38 |
| Рекомбинантное | да |
| Готовое к использованию | нет |
| Концентрация | 1 мг/мл |
| Конъюгат | нет |
| Валидировано для | FCM IF IHC IP WB Проточная цитометрия; Иммунофлуоресценция; Иммуногистохимия; Иммунопреципитация; Вестерн-блоттинг |
| Рекомендуемые разведения | FCM: 1:20-1:100, IF: 1:50-1:200, IHC: 1:100-1:200, IP: 1:20-1:50, WB: 1:1000-1:2000 |
| Метод очистки | Очистка с белками A/G из супернатанта клеточной культуры |
| Чистота | >95% |
| Состав буфера | 0.01M PBS, pH 7.4, 0.05% БСА, 50% глицерин, 0.05% азид натрия |
| Условия доставки | термобокс с аккумуляторами холода |
| Условия хранения | Хранить при -20 С -12 месяцев |
| Срок хранения | 12 месяцев |
| Производитель | AntibodySystem |
| Ссылка на страницу товара на сайте производителя | https://www.antibodysystem.com/product/29743.html |
|
Артикул
|
Наименование |
Производитель
|
|---|
|
Артикул
|
Наименование |
Производитель
|
|---|
|
Артикул
|
Наименование |
Производитель
|
|---|
|
Артикул
|
Наименование |
Производитель
|
|---|
|
Артикул
|
Наименование |
Производитель
|
|---|
|
Артикул
|
Наименование |
Производитель
|
|---|
Акции и предложения
Популярные продукты:
Anti-Serpin B3 (SERPINB3) Monoclonal Antibody (FAB372Hu06)
Источник (хозяин): мышь
Реактивность подтвержденная: человек
Валидировано для: FCM
Реактивность подтвержденная: человек
Валидировано для: FCM
Anti-Serpin B3 (SERPINB3) Monoclonal Antibody (FAB372Hu04)
Источник (хозяин): мышь
Реактивность подтвержденная: человек
Валидировано для: FCM
Реактивность подтвержденная: человек
Валидировано для: FCM
Chicken Cystatin D(CST5) ELISA kit (E12C2124)
Организм: курица
Rat E3 ubiquitin-protein ligase Mdm2 ELISA kit (E02M0702)
Организм: крыса
Bovine Claudin 16(CLDN16) ELISA kit (E11C0979)
Организм: корова
Monkey Annexin A11(ANXA11) ELISA kit (E09A1543)
Организм: обезьяна

