| UNIPROT | P42574 |
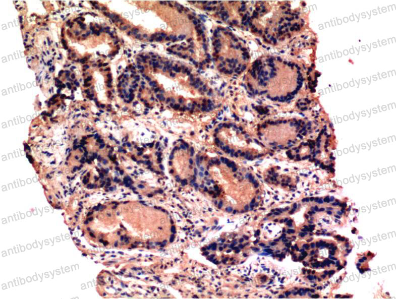
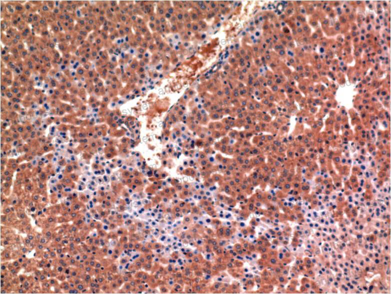
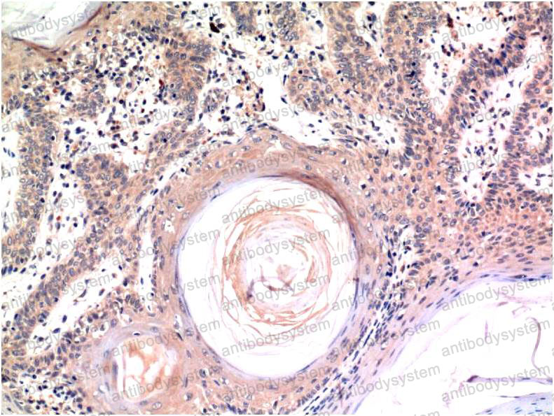
Anti-CASP3/Caspase-3 Antibody (R3K80) (RHE35911)
Реактивность подтвержденная:
человек, мышь, крыса
Источник (хозяин):
мышь
Валидировано для:
IHC
Характеристики
Техническое описание
| Русское название | RHE35911 Моноклональное антитело к CASP3/каспазе-3 (R3K80) <AntibodySystem,Китай> |
| Каталожный номер | RHE35911 |
| Название антигена | Caspase 3 (CASP3) |
| UNIPROT | P42574 |
| Английские синонимы | CPP32, CPP32B, SCA1, Apoptain, Yama, Apoptosis-Related Cysteine Peptidase, Cysteinyl Aspartate Specific Proteinases 3, SREBP cleavage activity 1, CASP-3, Caspase-3 |
| Русские синонимы | каспаза-3 |
Реактивность подтвержденная Нужна другая реактивность? |
человек, мышь, крыса |
| Источник (хозяин) | мышь |
| Изотип | IgG1 |
| Клональность | моноклональное |
| Клон | R3K80 |
| Рекомбинантное | да |
| Готовое к использованию | нет |
| Концентрация | 1 мг/мл |
| Конъюгат | нет |
| Валидировано для | IHC Иммуногистохимия |
| Рекомендуемые разведения | IHC: 1:50-1:100 |
| Метод очистки | Очистка с белками A/G из супернатанта клеточной культуры |
| Чистота | >95% |
| Состав буфера | 0.01M PBS, pH 7.4, 0.5% БСА, 0.05% натрия азид,50% глицерин |
| Условия хранения | Хранить при 4°C не более 1-2 недель. Хранить при -20°C - 12 месяцев |
| Срок хранения | 12 месяцев |
| Производитель | AntibodySystem |
| Ссылка на страницу товара на сайте производителя | https://www.antibodysystem.com/product/35653.html |
|
Артикул
|
Наименование |
Производитель
|
|---|
|
Артикул
|
Наименование |
Производитель
|
|---|
|
Артикул
|
Наименование |
Производитель
|
|---|
|
Артикул
|
Наименование |
Производитель
|
|---|
|
Артикул
|
Наименование |
Производитель
|
|---|
|
Артикул
|
Наименование |
Производитель
|
|---|
|
Артикул
|
Наименование |
Производитель
|
|---|
Акции и предложения
Популярные продукты:
Anti-Crk Like Protein (CRKL) Polyclonal Antibody (FAG766Hu01)
Источник (хозяин): кролик
Реактивность подтвержденная: человек
Валидировано для: FCM
Реактивность подтвержденная: человек
Валидировано для: FCM
Mouse Anti Filaggrin Antibody ELISA kit (E03A0428)
Организм: мышь
Mouse Argininosuccinate lyase(ASL) ELISA kit (E03A1722)
Организм: мышь
Sheep Glutathione Peroxidase 4 ELISA kit (E14G0618)
Организм: овца
Goat Glutathione Peroxidase 4 ELISA kit (E06G0618)
Организм: коза

