| UNIPROT | P07333 |
Anti-CD115/CSF1R Antibody (R3A17) (RHC25202)
Реактивность подтвержденная:
человек
Источник (хозяин):
мышь
Валидировано для:
ELISA
IF
IHC
Характеристики
Техническое описание
| Русское название | RHC25202 Моноклональное антитело к CD115/CSF1R (R3A17) <AntibodySystem,Китай> |
| Каталожный номер | RHC25202 |
| Название антигена | Colony Stimulating Factor Receptor, Macrophage (MCSFR) |
| UNIPROT | P07333 |
| Английские синонимы | CD115, CD 115, CD-115, MCFSR, M-CSFR, CSF1R, CSF1-R, C-FMS, CSFR, FIM2, FMS, Colony Stimulating Factor 1 Receptor, Formerly McDonough Feline Sarcoma Viral(v-Fms)oncogene Homolog |
Реактивность подтвержденная Нужна другая реактивность? |
человек |
| Источник (хозяин) | мышь |
| Изотип | IgG2b |
| Клональность | моноклональное |
| Клон | R3A17 |
| Рекомбинантное | да |
| Готовое к использованию | нет |
| Концентрация | 1 мг/мл |
| Конъюгат | нет |
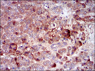
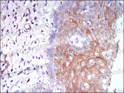
| Валидировано для | ELISA IF IHC Иммуноферментный анализ; Иммунофлуоресценция; Иммуногистохимия |
| Рекомендуемые разведения | ELISA: 1:10000, IF: 1:200-1:1000, IHC: 1:200-1:1000 |
| Метод очистки | Очистка с белками A/G из супернатанта клеточной культуры |
| Чистота | >95% |
| Состав буфера | 0.01M PBS, pH 7.4, 0.05% натрия азид |
| Условия доставки | термобокс с аккумуляторами холода |
| Условия хранения | Хранить при 4°C не более 1-2 недель. Хранить при -20°C - 12 месяцев |
| Срок хранения | 12 месяцев |
| Производитель | AntibodySystem |
| Ссылка на страницу товара на сайте производителя | https://www.antibodysystem.com/product/34699.html |
|
Артикул
|
Наименование |
Производитель
|
|---|
|
Артикул
|
Наименование |
Производитель
|
|---|
|
Артикул
|
Наименование |
Производитель
|
|---|
|
Артикул
|
Наименование |
Производитель
|
|---|
|
Артикул
|
Наименование |
Производитель
|
|---|
Акции и предложения
Популярные продукты:
Human Platelet derived growth factor receptor A ELISA kit (E01P0032)
Организм: человек
Диапазон определения: 1-25 нг/мл
Чувствительность: 0.1 нг/мл
Диапазон определения: 1-25 нг/мл
Чувствительность: 0.1 нг/мл
Sheep Dynorphin ELISA kit (E14D0267)
Организм: овца
Mouse Asprosin ELISA kit (E03A3100)
Организм: мышь
Recombinant Human ISG15/G1P2 Protein (mature form) (PKSH030785)
Источник (хозяин): E.coli
Организм: человек
Фрагмент: Met 1-Gly 157
Теги: без тега
Биоактивность: нет
Организм: человек
Фрагмент: Met 1-Gly 157
Теги: без тега
Биоактивность: нет

