| UNIPROT | P15509 |
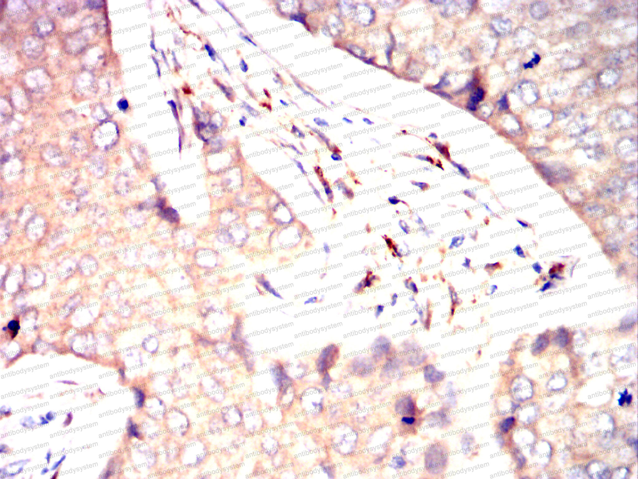
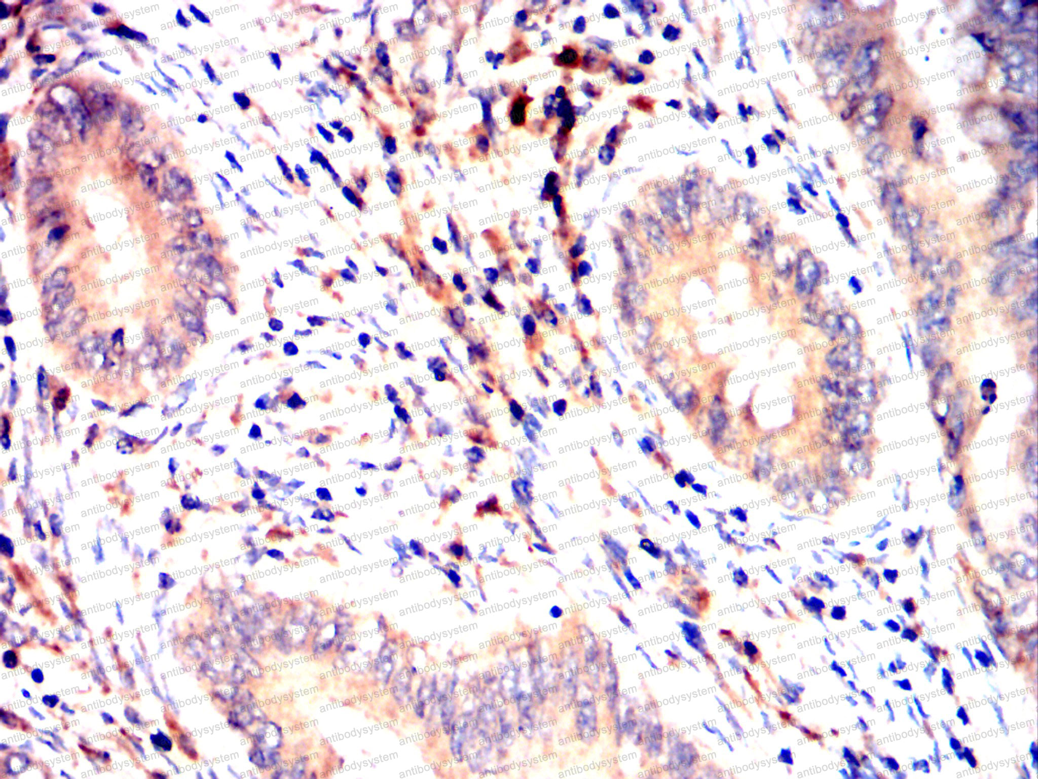
Anti-CD116/CSF2RA Antibody (R3E04) (RHD11501)
Реактивность подтвержденная:
человек
Источник (хозяин):
мышь
Валидировано для:
IHC
Характеристики
Техническое описание
| Русское название | RHD11501 Моноклональное антитело к CD116/CSF2RA (R3E04) <AntibodySystem,Китай> |
| Каталожный номер | RHD11501 |
| Название антигена | Colony Stimulating Factor 2 Receptor Alpha (CSF2Ra) |
| UNIPROT | P15509 |
| Английские синонимы | CDw116, CD166, CD 166, CD-166, CSF2R-A, GM-CSFR, CSF2RAX, CSF2RAY, CSF2RX, CSF2RY, GMCSFR, GMR, Granulocyte-macrophage colony-stimulating factor receptor subunit alpha |
Реактивность подтвержденная Нужна другая реактивность? |
человек |
| Источник (хозяин) | мышь |
| Изотип | IgG2a |
| Клональность | моноклональное |
| Клон | R3E04 |
| Рекомбинантное | да |
| Готовое к использованию | нет |
| Концентрация | 1 мг/мл |
| Конъюгат | нет |
| Валидировано для | IHC Иммуногистохимия |
| Рекомендуемые разведения | IHC: 1:200-1:400 |
| Метод очистки | Очистка с белками A/G из супернатанта клеточной культуры |
| Чистота | >95% |
| Состав буфера | 0.01M PBS, pH 7.4, 0.05% натрия азид |
| Условия доставки | термобокс с аккумуляторами холода |
| Условия хранения | Хранить при 4°C не более 1-2 недель. Хранить при -20°C - 12 месяцев |
| Срок хранения | 12 месяцев |
| Производитель | AntibodySystem |
| Ссылка на страницу товара на сайте производителя | https://www.antibodysystem.com/product/35082.html |
|
Артикул
|
Наименование |
Производитель
|
|---|
|
Артикул
|
Наименование |
Производитель
|
|---|
|
Артикул
|
Наименование |
Производитель
|
|---|
|
Артикул
|
Наименование |
Производитель
|
|---|
Акции и предложения
Популярные продукты:
Monkey Chloride channel protein 2(CLCN2) ELISA kit (E09C1756)
Организм: обезьяна
Bovine Interleukin 11 ELISA kit (E11I0352)
Организм: корова
Monkey Interleukin 11 ELISA kit (E09I0352)
Организм: обезьяна
Диапазон определения: 50-1000 пг/мл
Чувствительность: 1 пг/мл
Диапазон определения: 50-1000 пг/мл
Чувствительность: 1 пг/мл
Porcine Interleukin 11 ELISA kit (E07I0352)
Организм: свинья
Guinea Pig Interleukin 11 ELISA kit (E05I0352)
Организм: морская свинка
Rabbit Interleukin 11 ELISA kit (E04I0352)
Организм: кролик

