| UNIPROT | P36888 |
Anti-CD135/FLT3 Antibody (R3K07) (RHE19102)
Реактивность подтвержденная:
человек
Источник (хозяин):
мышь
Валидировано для:
ELISA
IHC
Характеристики
Техническое описание
| Русское название | RHE19102 Моноклональное антитело к CD135/FLT3 (R3K07) <AntibodySystem,Китай> |
| Каталожный номер | RHE19102 |
| Название антигена | FMS Like Tyrosine Kinase 3 (Flt3) |
| UNIPROT | P36888 |
| Английские синонимы | CD135, CD 135, CD-135, STK1, FLK2, Fms-Related Tyrosine Kinase 3, Stem Cell Tyrosine Kinase 1, FL Cytokine Receptor, Fetal Liver Kinase-2 |
Реактивность подтвержденная Нужна другая реактивность? |
человек |
| Источник (хозяин) | мышь |
| Изотип | IgG1 |
| Клональность | моноклональное |
| Клон | R3K07 |
| Рекомбинантное | да |
| Готовое к использованию | нет |
| Концентрация | 1 мг/мл |
| Конъюгат | нет |
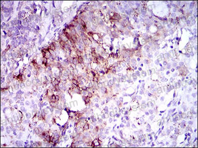
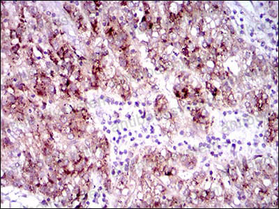
| Валидировано для | ELISA IHC Иммуноферментный анализ; Иммуногистохимия |
| Рекомендуемые разведения | ELISA: 1:10000, IHC: 1:200-1:1000 |
| Метод очистки | Очистка с белками A/G из супернатанта клеточной культуры |
| Чистота | >95% |
| Состав буфера | 0.01M PBS, pH 7.4, 0.05% натрия азид |
| Условия хранения | Хранить при 4°C не более 1-2 недель. Хранить при -20°C - 12 месяцев |
| Срок хранения | 12 месяцев |
| Производитель | AntibodySystem |
| Ссылка на страницу товара на сайте производителя | https://www.antibodysystem.com/product/35580.html |
|
Артикул
|
Наименование |
Производитель
|
|---|
|
Артикул
|
Наименование |
Производитель
|
|---|
|
Артикул
|
Наименование |
Производитель
|
|---|
|
Артикул
|
Наименование |
Производитель
|
|---|
|
Артикул
|
Наименование |
Производитель
|
|---|
|
Артикул
|
Наименование |
Производитель
|
|---|
Акции и предложения
Популярные продукты:
Phytic Acid Colorimetric Assay Kit (E-BC-K1210-M)
Организм: для всех
Диапазон определения: 6.05 мкмоль/л
Чувствительность: 6.05-500 мкмоль/л
Диапазон определения: 6.05 мкмоль/л
Чувствительность: 6.05-500 мкмоль/л
Monoclonal Antibody to Keratin 6A (KRT6A) (MAD234Hu28)
Источник (хозяин): мышь
Реактивность подтвержденная: человек
Валидировано для: WB
Реактивность подтвержденная: человек
Валидировано для: WB
Rabbit LIM/homeobox protein Lhx4(LHX4) ELISA kit (E04L0103)
Организм: кролик
Chicken Cystatin B (CSTB/CST6/STFB) ELISA kit (E12C2130)
Организм: курица

