| UNIPROT | Q5ZPR3 |
Anti-CD276/B7-H3 Antibody (R3U94) (RHJ04003)
Реактивность подтвержденная:
человек, мышь, крыса, кролик, обезьяна
Источник (хозяин):
мышь
Валидировано для:
FCM
IF
IHC
WB
Характеристики
Техническое описание
| Русское название | RHJ04003 Моноклональное антитело к CD276/B7-H3 (R3U94) <AntibodySystem,Китай> |
| Каталожный номер | RHJ04003 |
| Название антигена | Cluster Of Differentiation 276 (CD276) |
| UNIPROT | Q5ZPR3 |
| Английские синонимы | CD-276, CD 276, B7-H3, B7H3, CD276 Molecule, B7 homolog 3, Costimulatory molecule |
| Русские синонимы | Кластер дифференцировки 276 |
Реактивность подтвержденная Нужна другая реактивность? |
человек, мышь, крыса, кролик, обезьяна |
| Источник (хозяин) | мышь |
| Изотип | IgG1 |
| Клональность | моноклональное |
| Клон | R3U94 |
| Рекомбинантное | да |
| Готовое к использованию | нет |
| Концентрация | 1 мг/мл |
| Конъюгат | нет |
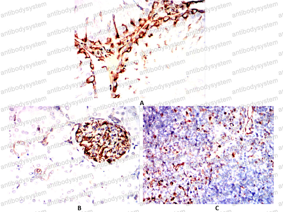
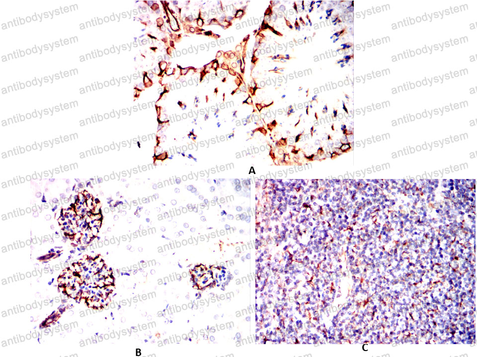
| Валидировано для | FCM IF IHC WB Проточная цитометрия; Иммунофлуоресценция; Иммуногистохимия; Вестерн-блоттинг |
| Рекомендуемые разведения | FCM: 1:200-1:400, IF: 1:50-1:500, IHC: 1:100-1:500, WB: 1:500-1:2000 |
| Метод очистки | Очистка с белками A/G из супернатанта клеточной культуры |
| Чистота | >95% |
| Состав буфера | 0.01M PBS, pH 7.4, 0.05% натрия азид |
| Условия хранения | Хранить при 4°C не более 1-2 недель. Хранить при -20°C - 12 месяцев |
| Срок хранения | 12 месяцев |
| Производитель | AntibodySystem |
| Ссылка на страницу товара на сайте производителя | https://www.antibodysystem.com/product/36557.html |
|
Артикул
|
Наименование |
Производитель
|
|---|
|
Артикул
|
Наименование |
Производитель
|
|---|
|
Артикул
|
Наименование |
Производитель
|
|---|
Акции и предложения
Популярные продукты:
Sheep Prolactin receptor(PRLR) ELISA kit (E14P0866)
Организм: овца
Mouse Prolactin receptor(PRLR) ELISA kit (E03P0866)
Организм: мышь
Rabbit Thymine DNA Glycosylase ELISA kit (E04T0890)
Организм: кролик
Human Xaa-Pro aminopeptidase 2 ELISA kit (E01X0015)
Организм: человек
Rat Copper transporting ATPase 2(ATP7B) ELISA kit (E02C1212)
Организм: крыса
Sheep Cyclin L1(CCNL1) ELISA kit (E14C1167)
Организм: овца

