| UNIPROT | Q5ZPR3 |
Anti-CD276/B7-H3 Antibody (R3U95) (RHJ04004)
Реактивность подтвержденная:
человек
Источник (хозяин):
мышь
Валидировано для:
ELISA
FCM
IF
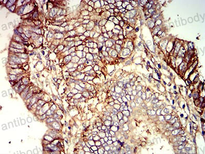
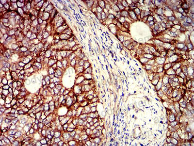
IHC
Характеристики
Техническое описание
| Русское название | RHJ04004 Моноклональное антитело к CD276/B7-H3 (R3U95) <AntibodySystem,Китай> |
| Каталожный номер | RHJ04004 |
| Название антигена | Cluster Of Differentiation 276 (CD276) |
| UNIPROT | Q5ZPR3 |
| Английские синонимы | CD-276, CD 276, B7-H3, B7H3, CD276 Molecule, B7 homolog 3, Costimulatory molecule |
| Русские синонимы | Кластер дифференцировки 276 |
Реактивность подтвержденная Нужна другая реактивность? |
человек |
| Источник (хозяин) | мышь |
| Изотип | IgG1 |
| Клональность | моноклональное |
| Клон | R3U95 |
| Рекомбинантное | да |
| Готовое к использованию | нет |
| Концентрация | 1 мг/мл |
| Конъюгат | нет |
| Валидировано для | ELISA FCM IF IHC Иммуноферментный анализ; Проточная цитометрия; Иммунофлуоресценция; Иммуногистохимия |
| Рекомендуемые разведения | ELISA: 1:10000, FCM: 1:200-1:400, IF: 1:100-1:500, IHC: 1:200-1:1000 |
| Метод очистки | Очистка с белками A/G из супернатанта клеточной культуры |
| Чистота | >95% |
| Состав буфера | 0.01M PBS, pH 7.4, 0.05% натрия азид |
| Условия хранения | Хранить при 4°C не более 1-2 недель. Хранить при -20°C - 12 месяцев |
| Срок хранения | 12 месяцев |
| Производитель | AntibodySystem |
| Ссылка на страницу товара на сайте производителя | https://www.antibodysystem.com/product/36558.html |
|
Артикул
|
Наименование |
Производитель
|
|---|
|
Артикул
|
Наименование |
Производитель
|
|---|
|
Артикул
|
Наименование |
Производитель
|
|---|
|
Артикул
|
Наименование |
Производитель
|
|---|
Акции и предложения
Популярные продукты:
Anti-Insulin (INS) Monoclonal Antibody (FAA448Hu04)
Источник (хозяин): мышь
Реактивность подтвержденная: человек
Валидировано для: FCM
Реактивность подтвержденная: человек
Валидировано для: FCM
Human Attractin like protein 1(ATRNL1) ELISA kit (E01A1766)
Организм: человек
Диапазон определения: 100-2500 пг/мл
Чувствительность: 1 пг/мл
Диапазон определения: 100-2500 пг/мл
Чувствительность: 1 пг/мл
Mouse Myelin and lymphocyte protein ELISA kit (E03M1087)
Организм: мышь
Canine Slit Homolog 3 ELISA kit (E08S0794)
Организм: собака
Goat Type II iodothyronine deiodinase ELISA kit (E06D0013)
Организм: коза

