| UNIPROT | Q96DU3 |
Anti-CD352/SLAMF6 Antibody (R3V80) (RHJ38603)
Реактивность подтвержденная:
человек
Источник (хозяин):
мышь
Валидировано для:
ELISA
FCM
IHC
Характеристики
Техническое описание
| Русское название | RHJ38603 Моноклональное антитело к CD352/SLAMF6 (R3V80) <AntibodySystem,Китай> |
| Каталожный номер | RHJ38603 |
| Название антигена | Signaling Lymphocytic Activation Molecule Family, Member 6 (SLAMF6) |
| UNIPROT | Q96DU3 |
| Английские синонимы | CD352, CD 352, CD-352, KALI, NTBA, KALIb, Ly108, SF2000, NTB-A, NK-T-B-antigen, Activating NK receptor |
Реактивность подтвержденная Нужна другая реактивность? |
человек |
| Источник (хозяин) | мышь |
| Изотип | IgG1 |
| Клональность | моноклональное |
| Клон | R3V80 |
| Рекомбинантное | да |
| Готовое к использованию | нет |
| Концентрация | 1 мг/мл |
| Конъюгат | нет |
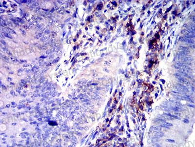
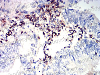
| Валидировано для | ELISA FCM IHC Иммуноферментный анализ; Проточная цитометрия; Иммуногистохимия |
| Рекомендуемые разведения | ELISA: 1:10000, FCM: 1:200-1:400, IHC: 1:200-1:1000 |
| Метод очистки | Очистка с белками A/G из супернатанта клеточной культуры |
| Чистота | >95% |
| Состав буфера | 0.01M PBS, pH 7.4, 0.05% натрия азид |
| Условия хранения | Хранить при 4°C не более 1-2 недель. Хранить при -20°C - 12 месяцев |
| Срок хранения | 12 месяцев |
| Производитель | AntibodySystem |
| Ссылка на страницу товара на сайте производителя | https://www.antibodysystem.com/product/36642.html |
|
Артикул
|
Наименование |
Производитель
|
|---|
Акции и предложения
Популярные продукты:
Guinea Pig Thiosulfate sulfurtransferase(TST) ELISA kit (E05T0742)
Организм: морская свинка
Porcine P selectin ELISA kit (E07P0111)
Организм: свинья
Диапазон определения: 2.5-50 нг/мл
Чувствительность: 0.1 нг/мл
Диапазон определения: 2.5-50 нг/мл
Чувствительность: 0.1 нг/мл
Recombinant Human CD62P/SELP Protein, N-His (YHD15101)
Источник (хозяин): E.coli
Организм: человек
Фрагмент: Lys58-Glu195
Теги: N-His
Биоактивность: нет
Организм: человек
Фрагмент: Lys58-Glu195
Теги: N-His
Биоактивность: нет
Recombinant Human CD352/SLAMF6 Protein, C-His (EHJ38601)
Источник (хозяин): клетки млекопитающих
Организм: человек
Фрагмент: Met1-Met226
Теги: C-His
Биоактивность: нет
Организм: человек
Фрагмент: Met1-Met226
Теги: C-His
Биоактивность: нет

